Kasuistik: Patientin mit Oberbauchschmerzen, postprandialer Übelkeit und Bewusstlosigkeit

Eine 47-jährige Patientin klagt neben gastrointestinalen Beschwerden über eine Bewusstlosigkeitsepisode und ungewollte Gewichtsabnahme. Wie lautet ihr Verdacht?

Oberbauchschmerzen, postprandiale Übelkeit und Bewusstlosigkeit: Was steckt dahinter?

Frau K., 47 Jahre alt, stellte sich bei ihrem Internisten mit zunehmenden Bauchschmerzen, postprandialer Übelkeit und einer Bewusstlosigkeitsepisode vor. Darüber hinaus berichtet sie über Appetitlosigkeit, dass der Stuhl sich in letzter Zeit hell verfärbt hat und dass sie ungewollt 8 Kilogramm in den letzten sechs Monaten abgenommen hat. Husten, Luftnot, Fieber, und Durchfall werden verneint.  Frau K. trinkt gelegentlich Alkohol und hat vor circa 12 Jahren mit dem Rauchen aufgehört (insgesamt 7 PY). Sie hat keine Vorerkrankungen. Sie arbeitet als Kauffrau, lebt mit ihrem Ehemann und zwei Töchter auf einen Bauernhof im Berliner Umland. 

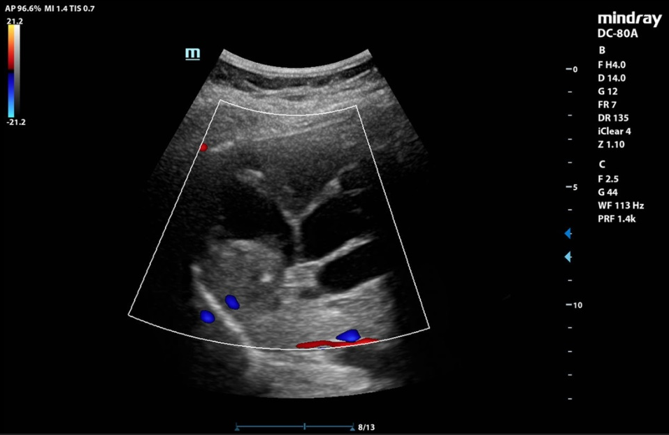
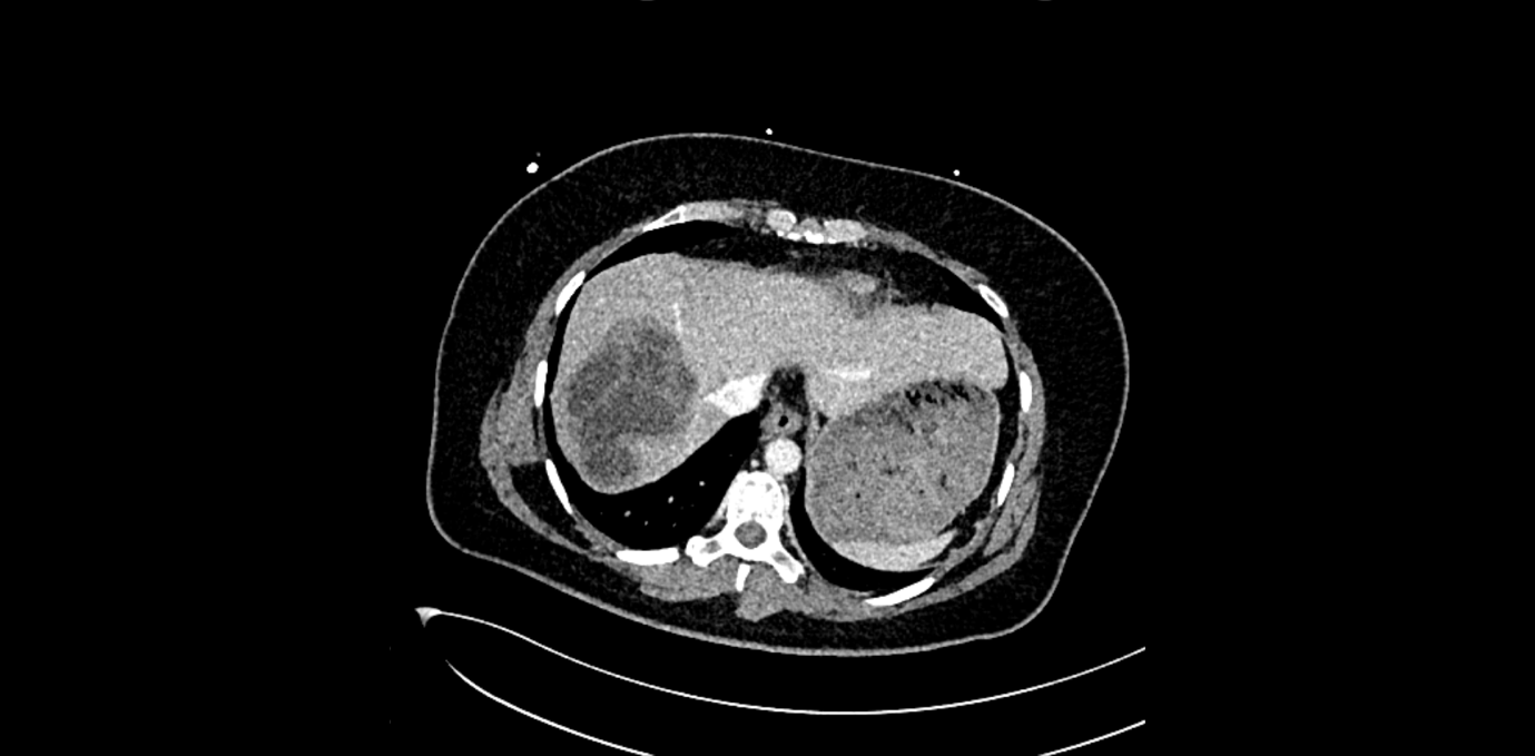
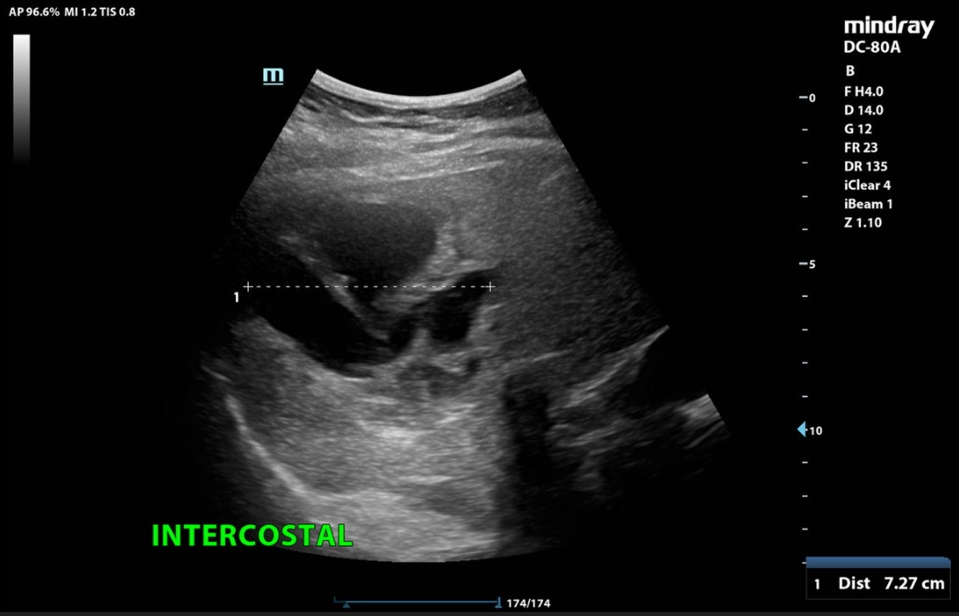
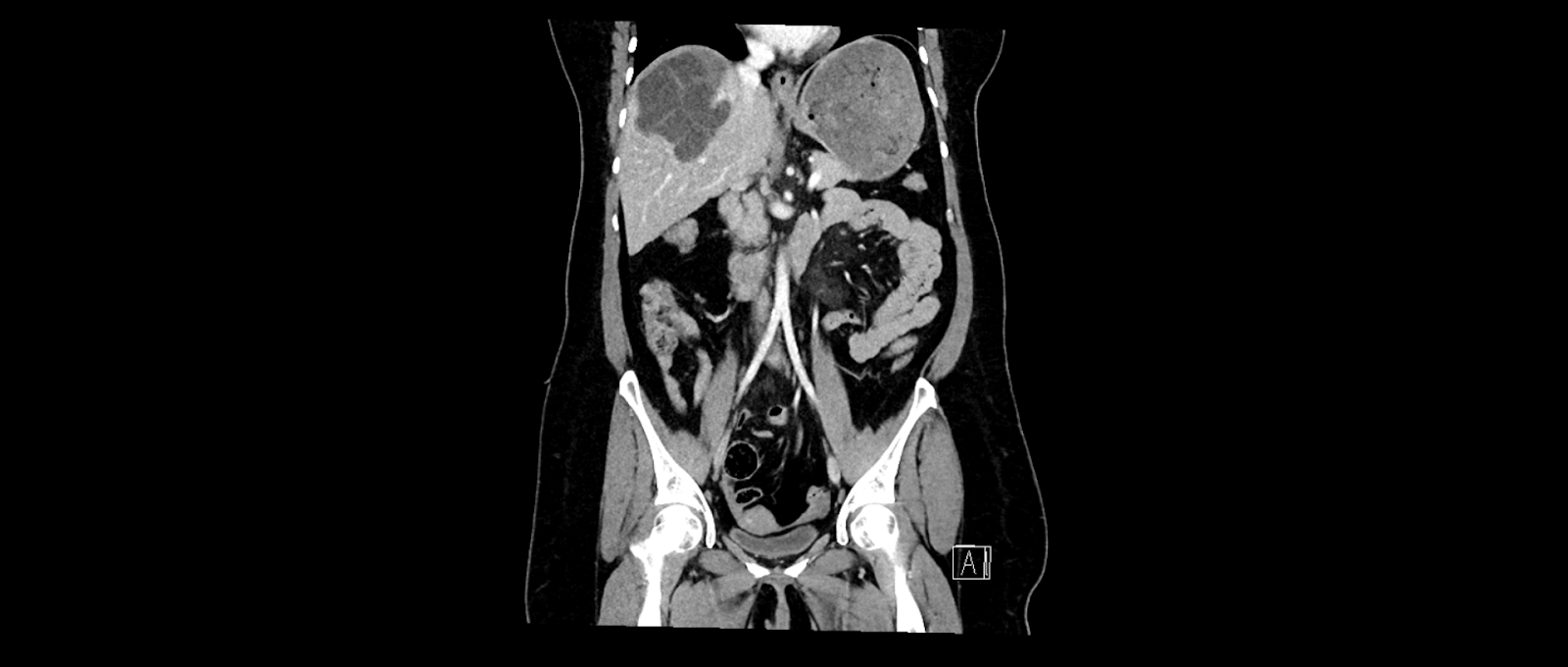
In der klinischen Untersuchung zeigt sich ein diskreter Sklerenikterus und ein leichter rechtsseitiger Oberbauchschmerz. Laborchemisch zeigen sich erhöhte Transaminasen sowie eine Bilirubinämie. Die Leukozyten und das C-reaktive Protein waren ebenfalls erhöht. In der orientierenden Sonographie bei dem Internisten zeigte sich eine ca. 16 cm messende echoarme, septierte Raumforderung, woraufhin die Patientin zur stationären Abklärung eingewiesen wurde. Bei der Aufnahme wurde eine Computertomographie des Abdomens durchgeführt.

kasuistik_aymen

kasuistik_aymen

kasuistik_aymen

kasuistik_aymen

Wie lautet Ihre Verdachtsdiagnose: 

  1. Hepatozelluläres Karzinom bei Hepatitis C
  2. Cholangiozelluläres Karzinom
  3. Echinokokkose
  4. Leberabszess bei Bakteriämie 


Hier erfahren Sie, ob Sie richtig diagnostiziert haben:

Die Echinokokkose, eine ernstzunehmende Erkrankung in landwirtschaftlichen Regionen 

In der CT-Untersuchung zeigte sich eine 16 x 14 cm messende, multilobulierte hypodense Raumforderung in den Lebersegmenten VII, VIII und VIa mit konsekutiver Cholestase im rechten Leberlappen. Die Pfortader und die Lebervenen waren offen. Die restlichen Organe waren unauffällig. Bei komplizierten Leberzysten wurde die Serologie für Echinokokkose abgenommen. Auf die gezielte Frage nach Kontakt zu Hunden und Füchsen hat Frau K. angegeben, dass sie drei Hunde auf dem Bauernhof hat. Der Echinokokken-IgG-Screening-ELISA war mit 47 U/ml positiv. Somit wurde die Diagnose einer Echinokokkose gestellt. 

Die Echinokokkose, auch bekannt als Bandwurmerkrankung, ist eine seltene, aber ernste parasitäre Krankheit. Verursacht wird sie durch die Larvenstadien der Bandwürmer Echinococcus granulosus und E. multilocularis. Die Übertragung erfolgt hauptsächlich durch den Kontakt mit infizierten Hunden oder Füchsen und durch den Verzehr von kontaminierten Nahrungsmitteln. Die Inkubationsszeit kann 6 Monate bis mehrere Jahre betragen.

Bei der zystischen Echinokokkose (durch E. granulosus) bilden sich Zysten vorwiegend in Leber und Lunge, die asymptomatisch bleiben können, bis sie eine beachtliche Größe erreichen. In Kontrast dazu führt die alveoläre Echinokokkose (durch E. multilocularis) zu tumorartigen Läsionen, die sich infiltrativ ausbreiten und weitere Organe befallen können, wie Lunge und Gehirn.

Die Ausbildung der Hydatide verläuft in der Regel über mehrere Jahre hinweg. Nach einer langen asymptomatischen Phase geben die Patienten unspezifische Oberbauchbeschwerden bis hin zum Ikterus (bei Leberbefall), oder Reizhusten und thorakales Engegefühl (bei Lungenbefall). Das Reißen einer Echinococcuszyste stellt eine ernste Komplikation dar, da die austretende Flüssigkeit zu einem annaphylaktischen Schock führen kann, und die Ausschwemmung vieler neuer Larven kann zur Bildung neuer Zysten führen. 

Die Labordiagnostik ist meist unspezifisch, es können sich eine milde Eosinophilie, eine Thrombozytopenie sowie eine Leukopenie zeigen. Zum Nachweis dienen

Immundiagnostische Tests wie ELISA, Western Blot, Immunfluoreszenz-Antikörper-Test. Eine negative Serologie schließt jedoch eine Echinokokkose nicht aus, denn ein Antikörperanstieg ist frühestens drei Monate nach der Exposition zu erwarten.

Die Therapie orientiert sich an Größe, Lokalisation und Stadium.  Sie besteht meist aus einer Kombination von chirurgischen Eingriffen und antiparasitären Medikamenten. Wegen der oft späten Diagnose und Komplikationen bleibt die Prognose jedoch ernst. Bei dem ausgedehnten Befund von Frau K. wurde eine präoperative Embolisation der rechten Pfortader durchgeführt, um eine Proliferation des linken Leberlappens zu erzielen. Drei Wochen danach wurde eine atypische Resektion der Lebersegmente IV, VII und VIII durchgeführt. Die Patientin hat sich rasch erholt und der Ikterus war vollständig regredient. Nach dem siebten postoperativen Tag konnte die Patientin in gutem Allgemeinzustand in die Häuslichkeit entlassen werden. 

 

Haben Sie eine Kasuistik, die Sie gerne teilen möchten?

Schicken Sie uns die Details Ihrer Kasuistik an content@esanum.de. Ihr Beitrag wird vor der Veröffentlichung von unseren Medizinern überprüft und die finale Version nur mit Ihrer Zustimmung veröffentlicht.