Kasuistik: Patientin mit Durchfall und Unterbauchschmerzen

Eine 20-jährige Frau stellte sich in der Notaufnahme mit Unterbauchschmerzen und Veränderungen im Stuhlgangverhalten vor. Wie lautet Ihre Verdachtsdiagnose?

Durchfall und Bauchschmerzen: Was steckt dahinter?

Die 20-jährige Frau M. stellte sich mit seit acht Tagen anhaltenden Schmerzen im Unterbauch in der Notaufnahme vor. Die Patientin war in reduziertem Allgemein- und Ernährungszustand. Sie berichtete über krampfartige, stechende Schmerzen im rechten Unterbauch, insbesondere während der Nahrungsaufnahme.

Außerdem gab es Veränderungen im Stuhlgangverhalten, die seit 10 Tagen anhielten, einschließlich wässriger Durchfälle und gelegentlichem Auftreten von dunkelrotem Blut im Stuhl. Die Stuhlfrequenz hatte sich erhöht, während die Konsistenz des Stuhls weicher geworden war. Die Patientin berichtete jedoch nicht über ungewollten Gewichtsverlust, Nachtschweiß, Abgeschlagenheit oder Veränderungen bei Appetit, Durst und Miktion.

Bei der körperlichen Untersuchung zeigte sich eine reizlose kleine Narbe um den Bauchnabel, tendenziell hypoperistaltische Darmgeräusche und Druckdolenz bei tiefer Palpation im gesamten Unterbauch, rechts stärker als links. Laboruntersuchungen ergaben, leicht erhöhtes CRP, Leukozytose, eine leichte Anämie, die normochrom und normozytär war, sowie Eisen- und Folsäuremangel. Angesichts der unspezifischen Symptome der Patientin wurde aufgrund ihres jungen Alters eine MRT-Untersuchung des Abdomens durchgeführt.

Wie lautet ihre Verdachtsdiagnose:

  1. Endometriose
  2. Darmkrebs im Rahmen einer FAP
  3. Ileitis terminalis
  4. Darmtuberkulose

Schreiben Sie uns gern in den Kommentaren, zu welcher Diagnose Sie tendieren.

kasuistik_aymen_medebb_radio..


Hier erfahren Sie, ob Sie richtig diagnostiziert haben:

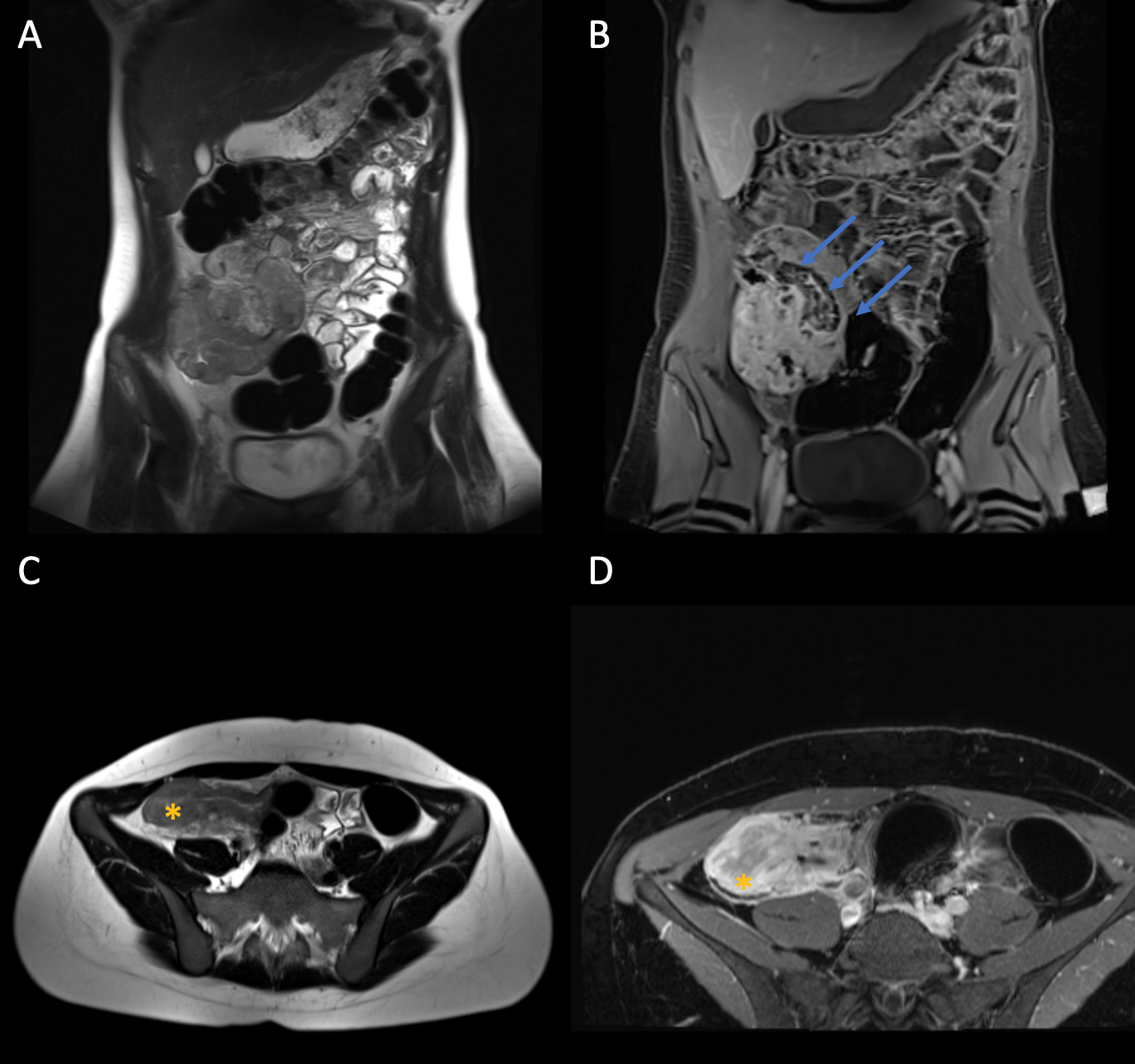
Abbildung (siehe oben) A: T2w HASTE coronal. B: Fettgesättigte T1w Post-KM FS coronal. C: T2w HASTE axial. D: Fettgesättigte T1w Post-KM axial. Blaue Pfeil: Konglomerattumor im rechten Unterbauch. Stern: Ausgeprägte Wandverdickung des terminalen Ileums.

Auflösung

Bei der Patientin wurde eine Ileitis terminalis bei Morbus Crohn festgestellt. Morbus Crohn ist eine chronisch-entzündliche Darmerkrankung (CED), die sich durch eine Entzündung in verschiedenen Bereichen des Verdauungstrakts auszeichnet. Die Entzündung tritt in der Regel in der Darmwand des terminalen Ileums auf, kann jedoch auch in umliegenden Geweben (Lymphknoten und Fettgewebe) auftreten und zu einem Konglomerattumor führen, wie es der Fall bei Frau M. ist. Manchmal kommt es ebenfalls zu einer Fistelbildung zwischen Ileum und Harnblase oder Ileum und Sigma.

Die Diagnose von Morbus Crohn basiert auf einer Kombination aus klinischen Symptomen, Laboruntersuchungen und bildgebenden Verfahren. Zu den häufigsten Symptomen gehören Bauchschmerzen, Durchfall, Gewichtsverlust und Blutungen aus dem Darm. Bei der Diagnostik kann ein Bluttest durchgeführt werden, um das Vorhandensein von Entzündungsmarkern im Blut zu überprüfen. Eine Darmspiegelung soll ebenfalls durchgeführt werden, um das Ausmaß der Entzündung und mögliche Veränderungen im Darmgewebe zu beurteilen. Mittels Sonographie kann die Entzündungsaktivität nach der Limberg Klassifikation beurteilt werden.  Die Magnetresonanztomographie wird zunehmend als Goldstandard durchgeführt, um die Ausdehnung der entzündlichen Veränderungen und der betroffenen Areale genauer zu beurteilen.

Die Therapie von Morbus Crohn besteht aus der Kontrolle der Entzündung, der Behandlung von Symptomen und der Vorbeugung von Komplikationen. Die Behandlung erfolgt häufig mit entzündungshemmenden Medikamenten wie Steroiden und Immunsuppressiva. Bei schweren Fällen können Biologika, Antikörper oder Immunmodulatoren eingesetzt werden. Zusätzlich können Antibiotika verwendet werden, um Infektionen zu behandeln und Entzündungen zu reduzieren. Es können auch Ernährungsanpassungen vorgenommen werden, um Symptome zu reduzieren und Mangelerscheinungen vorzubeugen. Häufig jedoch sind chirurgische Optionen im fortgeschrittenen Krankheitsstadium jedoch unvermeidlich. Typischerweise wird eine Ileozökalresektion durchgeführt.

Die Prognose von Morbus Crohn hängt von der Schwere der Erkrankung und der Wirksamkeit der Therapie ab. Bei rechtzeitiger und angemessener Behandlung kann eine Remission erreicht werden, bei der die Symptome verschwinden und der Darm gesund bleibt. Allerdings kann die Krankheit auch wiederkehren und es kann zu Komplikationen kommen, wie etwa Ileus oder Abszesse. Eine enge Zusammenarbeit zwischen dem Patienten und dem Arzt ist erforderlich, um das Fortschreiten der Erkrankung zu verlangsamen und eine bestmögliche Prognose zu erreichen. Da die meisten Patienten eher im jüngeren Alter betroffen sind und die Behandlungskomplexität zunimmt, werden Crohn Patientinnen und Patienten zunehmend in spezialisierten Zentren angebunden und regelmäßig gesehen.