Zwei Ohnmachtsanfälle an einem Tag

Ein Mann Anfang 60 kam nach zwei Ohnmachtsanfällen am selben Tag in die Notaufnahme. In der vorangegangenen Nacht war er von starkem Herzklopfen geweckt worden. Sind Sie bereit für eine neue diagnostische Herausforderung?

"Ich wurde ohnmächtig, aber ich weiß nicht warum, das ist mir noch nie passiert"

Am Sonntag, dem 7. April 2024, um 20.30 Uhr, stellte sich Herr Thomas M., ein 63-jähriger Mann aus Bergen, Deutschland, in Begleitung seiner Frau in der Notaufnahme vor, weil er am selben Tag zwei Episoden plötzlichen und vorübergehenden Bewusstseinsverlusts erlitten hatte, die sich durch schnellen Beginn, kurze Dauer und vollständige und spontane Besserung auszeichneten. Die beiden Episoden traten mittags und um 19.30 Uhr auf. Den beiden Bewusstseinsverlusten gingen keine Prodromi voraus. In beiden Fällen erlitt der Patient keine traumatischen Folgen. Er berichtet, dass er in der vorangegangenen Nacht mit Herzklopfen aufgewacht sei (er sagt, er habe „sein Herz im Hals gespürt“), allerdings mit einem Pulsoxymeter, das eine Bradykardie von 30 b/min anzeigte.

Anamnese

63-jähriger Mann, keine kardiovaskulären Risikofaktoren, beidseitiges Karpaltunnelsyndrom, extrasystolisches Herzklopfen in der Anamnese, wegen dem er regelmäßig kardiologisch untersucht wurde (bei Serien-EKGs, linker anteriorer Faszikelblock). Er berichtet über Asthenie und Belastungsunverträglichkeit seit etwa 3 Monaten. Er berichtet über keine Epilepsie in der Vorgeschichte und keine Allergien.

Körperliche Untersuchung

Die in der Notaufnahme durchgeführte körperliche Untersuchung ergibt folgende Befunde:

Neurologische Untersuchung: Vorhandensein von beidseitigen Schmerzen durch Kompression des Nervus medianus.

Laborbefunde

Die in der Notaufnahme durchgeführten Laboruntersuchungen geben keinen eindeutigen Hinweis auf die Diagnose.

Radiologie und instrumentelle Diagnostik

EKG:

Kasuistik Amedeo November.png

EKG-Kurve

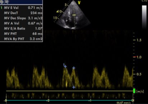
Echokardiogramm:

Kasuistik Amedeo November 1.png


Hier erfahren Sie, ob Sie richtig lagen:

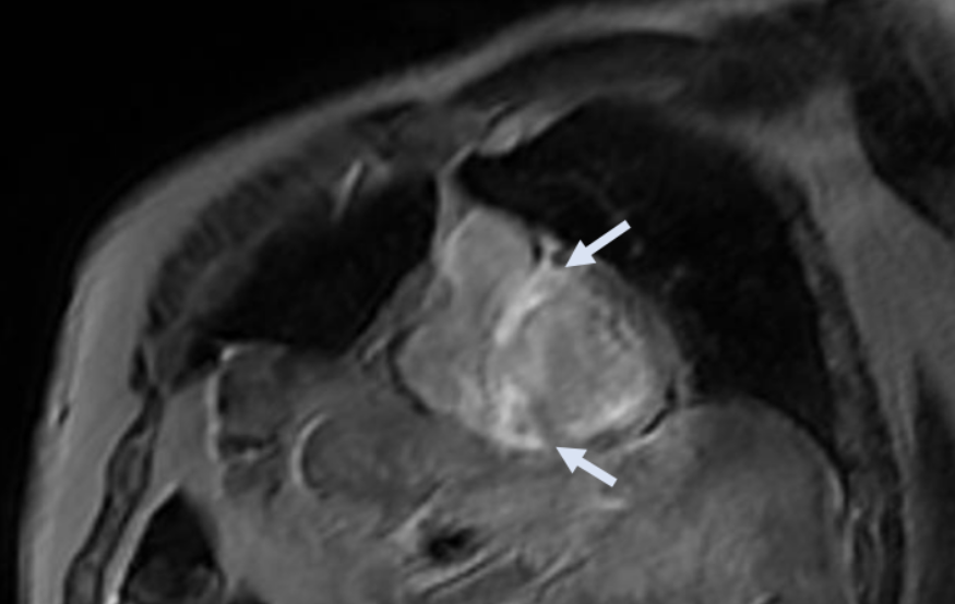
Kardiale MRT (CMR) zur weiteren Abklärung

Angesichts der elektro-anatomischen Diskordanz und des im Echokardiogramm festgestellten hypertrophen Phänotyps wurde eine CMR durchgeführt. Die Ergebnisse:

  • biventrikuläre Hypertrophie mit erhaltener systolischer Funktion;
  • infiltratives Muster mit ausgedehnten Bereichen von spätem Gadolinium-Enhancement (LGE) vorwiegend intramyokardial auf Höhe des basalen und mittleren Septums, der basalen postero-lateralen Wand, der Papillarmuskeln und an der subepikardial-intramyokardialen Stelle der vorderen mittleren basalen Wand und der inferioren Wand;
  • Vorhandensein von LGE auch auf Höhe der Vorhofwände und des verdickten interatrialen Septums;
  • Vorhandensein von LGE auch im Bereich der Vorhofwände und des verdickten interatrialen Septums;
  • außerdem Vorhandensein einer veränderten Gadoliniumkinetik, die durch eine schnelle Aufnahme des Kontrastmittels in das Myokard auf Kosten des Blutes in den Herzkammern gekennzeichnet ist.

Kasuistik Amedeo November 3.png

Kasuistik Amedeo November 2.png

Klinischer Verdacht

Die Befunde erweckten daher den Verdacht auf eine kardiale Amyloidose.

  • EKG: Das Vorhandensein niedriger QRS-Spannungen gilt als typisches Zeichen einer kardialen Amyloidose, wird aber nur bei 1/3 der Patienten mit ATTR-Amyloidose gefunden. Weitere EKG-Veränderungen sind pseudoischämische Veränderungen (Pseudonekrose), Erregungsleitungsanomalien (Verzweigungsblöcke, atrioventrikuläre Blöcke, sinoatriale Blöcke) und Rhythmusstörungen.
  • TTE: konzentrische und symmetrische Hypertrophie mit „körnig funkelndem“ Erscheinungsbild mit diastolischer Dysfunktion und Klappenverdickung in Verbindung mit Vorhofdilatation und Verdickung des interatrialen Septums.
  • CMR: ventrikuläre Hypertrophie, veränderte Gadoliniumkinetik und diffuser LGE-Befund mit nicht-ischämischem Muster, der auch die Herzvorhöfe betrifft.

Weitere Untersuchungen und endgültige Diagnose

  • Laboruntersuchungen auf AL-Amyloidose: negativ.
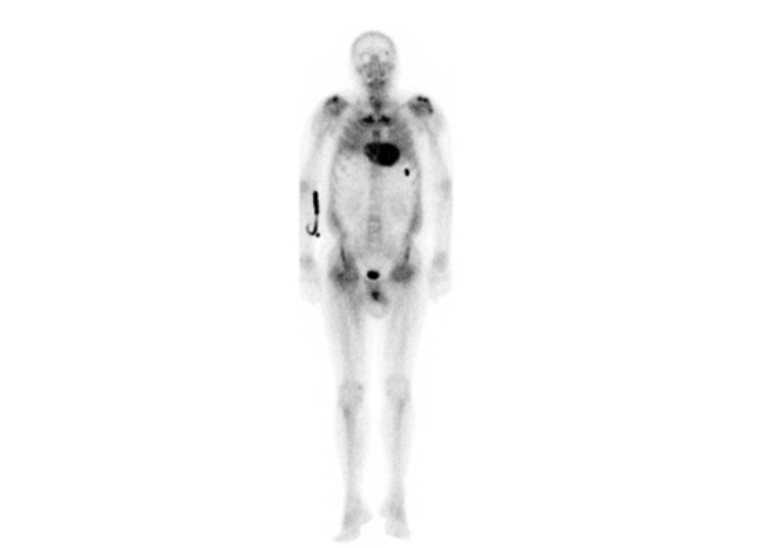
  • Ganzkörper-SPECT/CT zur Knochenszintigraphie (99mTc-DPD): starke Fixierung des Radiopharmakons mit besonderer Beteiligung der septalen und lateralen Regionen der linken Herzkammer, verbunden mit einer Fixierung in der rechten Herzkammer und einer deutlichen globalen Reduktion der Aufnahme im Skelettbereich (Perugini-Score: 3).
  • Angesichts der synkopischen Episoden im Rahmen der kardialen Amyloidose und der bei der elektrophysiologischen Untersuchung festgestellten subhisianen Reizleitungsstörung wird eine CRT-P-Implantation durchgeführt.
  • Angesichts der Diagnose einer ATTR-Herzamyloidose wird der Patient an ein spezialisiertes Zentrum überwiesen, um eine molekulare Analyse des TTR-Gens durchzuführen, die keine Nukleotidveränderungen von pathologischer Bedeutung zeigt.

Die Diagnose lautet daher Transthyretin-bezogene Wildtyp-Amyloidose (ATTR-wt).

Kasuistik Amedeo November 4.png

Knochenszintigraphie mit Perugini-Score Grad 3

Transthyretin-Amyloidose (ATTR-CM)

Die kardiale Amyloidose ist eine Form der restriktiven Kardiomyopathie, die durch die Ansammlung von Amyloid, einer Ansammlung strukturell veränderter Proteinfragmente, im extrazellulären Raum des Herzens verursacht wird. Zu den wichtigsten Formen der kardialen Amyloidose gehören die Leichtketten-Amyloidose (AL) und die Transthyretin-Amyloidose (ATTR).

Es werden zwei Formen von ATTR unterschieden:

  • der Wildtyp-ATTR (ATTRwt) (erworbene, nicht erbliche Form, sie ist die häufigste Form der Herzamyloidose);
  • die vererbte oder variante ATTR (ATTRv).

ATTRv entsteht durch Mutationen im TTR-Gen (mehr als 120 sind bekannt), die autosomal dominant vererbt werden. Das klinische Bild von ATTRv ist sehr heterogen und kann je nach der verantwortlichen Mutation einen rein neurologischen Phänotyp (Polyneuropathie und autonome Dysfunktion), einen rein kardialen Phänotyp oder eine Mischung aus beiden umfassen.

ATTRwt tritt mit zunehmendem Alter auf und betrifft vor allem das Herz, kann aber auch die Weichteile betreffen und vor allem zu Spinalkanalstenose und bilateralem Karpaltunnelsyndrom führen. ATTRwt betrifft in der Regel ältere männliche Patienten, mit einer Prävalenz von 25 % bei Personen über 85 Jahren.

Die klinischen Manifestationen der kardialen Beteiligung im Verlauf der kardialen Amyloidose, wie Dyspnoe, Herzklopfen, Asthenie, periphere Stauung, sind unspezifisch und helfen nicht bei der Differentialdiagnose. Bei der ATTR-Form ist eine Nervenbeteiligung häufig und kann von einer Augenbeteiligung begleitet sein: Anzeichen und Symptome einer peripheren und dysautonomischen Neuropathie (orthostatische Hypotonie, Synkope, Verlust der Schließmuskelkontrolle) in Verbindung mit Glaskörpertrübungen sind bei ATTR häufig. Besonders erwähnenswert ist das Karpaltunnelsyndrom, das, vor allem wenn es beidseitig auftritt, ein spezifisches Zeichen der ATTRwt-Amyloidose ist und die kardialen Manifestationen um ein Jahrzehnt vorwegnehmen kann.

Die Infiltration des Herzmuskels kann zu elektrokardiographischen Befunden führen, die auf eine kardiale Amyloidose hindeuten. Die Myokardinfiltration führt bereits im Frühstadium der Erkrankung zu einer systolischen Dysfunktion. FE bleibt jedoch bis in die fortgeschrittenen Stadien der Erkrankung erhalten, während der Nachweis einer Myokarddeformation den Nachweis einer systolischen Dysfunktion bereits in den frühen Stadien der Erkrankung ermöglicht. Unter den nicht-invasiven bildgebenden Verfahren spielt die kardiale Magnetresonanztomographie eine zunehmend wichtige Rolle.

Die Infiltration des Herzmuskels kann zu elektrokardiographischen Befunden führen, die auf eine kardiale Amyloidose hindeuten. Die Myokardinfiltration führt bereits in den frühen Stadien der Erkrankung zu einer systolischen Dysfunktion. FE bleibt jedoch bis in die fortgeschrittenen Stadien der Erkrankung erhalten, während der Nachweis einer Myokarddeformation den Nachweis einer systolischen Dysfunktion bereits in den frühen Stadien der Erkrankung ermöglicht. Unter den nicht-invasiven bildgebenden Verfahren spielt die kardiale Magnetresonanztomographie aufgrund ihrer Fähigkeit zur Gewebecharakterisierung und ihrer hohen räumlichen Auflösung, die eine morphologische und funktionelle Beurteilung ermöglicht, eine zunehmend wichtige Rolle.

Die endgültige Diagnose erfordert eine histologische Bestätigung des Vorhandenseins von Amyloid-Substanz in Biopsieproben aus Geweben, die an dem infiltrativen Prozess beteiligt sind. In jüngster Zeit hat die nukleare Bildgebung die Diagnose der ATTR-Amyloidose revolutioniert. Knochenspezifische Radioisotope, die bei der Ganzkörper-Knochenszintigraphie verwendet werden, binden Transthyretin-Amyloid-Ablagerungen. Der Grad der myokardialen Akkumulation ist variabel und wird visuell durch den Perugini-Score bestimmt (von 0 = keine Akkumulation bis 3 = pathologische myokardiale Akkumulation, größer als die Knochenakkumulation). Bei Patienten mit einem Score von 2 bis 3 ist bei Fehlen von Laboranzeichen, die auf eine AL-Amyloidose hindeuten, die nicht-invasive Diagnose einer ATTR-Amyloidose mit einer Spezifität und Sensitivität von über 99 Prozent möglich. Eine anschließende genetische Analyse ermöglicht die Unterscheidung zwischen Mutanten und Wildtypen.

In nicht-diagnostischen oder unsicheren Fällen (Perugini-Score 2-3 bei positivem hämatologischem Screening auf Plasmazelldyskrasien, Perugini-Score 0-1 bei weiterhin hohem Verdacht auf ATTR-Amyloidose) bleibt die endgültige Diagnose invasiv und erfordert eine Biopsie der betroffenen Gewebe.

Kasuistik Amedeo November 5.png

Quellen:
  1. Falk RH, Dubrey SW. Amyloid heart disease. Prog Cardiovasc Dis 2010;52:347-61.
  2. Rapezzi C, Merlini G, Quarta CC, et al. Systemic cardiac amyloidoses: disease profiles and clinical courses of the 3 main types. Circulation 2009;120:1203-12.
  3. Maceira AM, Joshi J, Prasad SK, et al. Cardiovascular magnetic resonance in cardiac amyloidosis. Circulation 2005;111:186-93.
  4. Perugini E, Guidalotti PL, Salvi F et al. Noninvasive etiologic diagnosis of cardiac amyloidosis using 99m Tc-3,3-diphosphono-1,2-propanodicarboxylic acid scintigraphy. J Am Coll Cardiol 2005;46:1076- 84.
  5. Garcia-Pavia P, Rapezzi C, Adler Y, et al. Diagnosis and treatment of cardiac amyloidosis. A position statement of the European Society of Cardiology Working Group on Myocardial and Pericardial Diseases. Eur J Heart Fail 2021;23:512-26.
  6. Cocco M, Tonet E. Imaging multimodale nell’amiloidosi cardiaca: work-up diagnostico. Giornale Italiano di Cardiologia. 2022.