Tropenmedizinischer Notfall: 35-Jährige mit Fieber und Oberbauchschmerzen nach Bangladesch-Aufenthalt

Nach zwei Jahren in Bangladesch kehrt eine 35-Jährige mit Fieber, Oberbauchschmerzen und Schwäche zurück. Können Sie die Diagnose stellen?

Anamnese und klinische Untersuchung

Die Patientin, eine 35-jährige Entwicklungshelferin, arbeitete zwei Jahre lang mit einer NGO in ländlichen Regionen Bangladeschs, wo sie sich intensiv mit humanitärer Hilfe und Wasseraufbereitungsprojekten beschäftigte. Seit ihrer Rückkehr vor drei Monaten fühlt sie sich zunehmend erschöpft, klagt über intermittierendes Fieber und unspezifische Bauchschmerzen. Diese Beschwerden hat sie zunächst als Reisediarrhö oder allgemeine Anpassungsschwierigkeiten interpretiert.

In den letzten Tagen hat sie jedoch zunehmende Schmerzen im rechten Oberbauch entwickelt, begleitet von anhaltendem Fieber (bis 39,5 °C), Nachtschweiß und Appetitlosigkeit. Eine Übelkeit oder Gelbsucht gibt sie nicht an. Sie hat keine Vorerkrankungen, nimmt keine regelmäßigen Medikamente ein und ist gegen Hepatitis A und B geimpft.

Klinische Untersuchung

Laborwerte

Parameter Ergebnis Referenzbereich
Blutbild
Leukozyten 14.2 Tsd./ µL 4.0–10.0 Tsd./µL
Hämoglobin 11.5 g/dL 12–16 g/dL
Thrombozyten 320 Tsd./µL 150–400 Tsd./µL
Entzündungsmarker
CRP 105 mg/L <5 mg/L
Prokalzitonin 0.6 µg/L <0.5 µg/L
Leberwerte
AST (GOT) 75 U/L <50 U/L
ALT (GPT) 85 U/L <50 U/L
Bilirubin gesamt 1.1 mg/dL 0.1–1.2 mg/dL

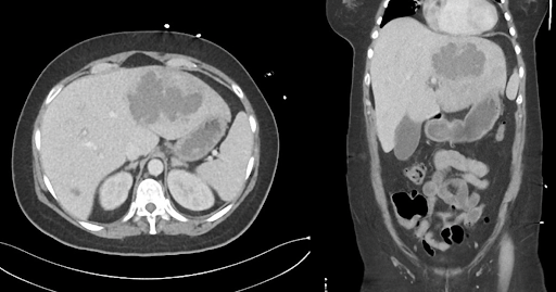
Bildgebung

CT-Abdomen mit Kontrastmittel:

Tropenmedizinischer Notfall.png

CT-Abdomen mit Kontrastmittel

Finden Sie heraus, ob Sie richtig lagen

Diagnose

Amöbischer Leberabszess durch Entamoeba histolytica, vermutlich erworben während des NGO-Einsatzes in Bangladesch.

Differentialdiagnostische Abgrenzung

Ein bakterieller Leberabszess ist differenzialdiagnostisch naheliegend, jedoch sprechen mehrere Befunde gegen diese Diagnose: Die Patientin hatte keinen bekannten biliären Infekt, keinen intraabdominellen Fokus wie eine Appendizitis oder Divertikulitis und keine kürzliche Sepsis. Zudem ist die Reiseanamnese mit Aufenthalt in einem Endemiegebiet deutlich suggestiver für einen amöbischen Ursprung.

Ein hepatozelluläres Karzinom (HCC) ist bei einer jungen, nicht zirrhotischen, nicht hepatitis-infizierten Frau ohne Risikofaktoren äußerst unwahrscheinlich. Auch die Klinik mit akutem Fieber und ausgeprägtem Inflammationslabor spricht klar gegen ein HCC.

Eine Hydatidenzyste (Echinokokkose) ist eine weitere wichtige Differenzialdiagnose bei zystischen Leberläsionen, insbesondere mit Auslandsaufenthalt. Im vorliegenden Fall ist die Läsion jedoch nicht zystisch mit multiseptierter Struktur, sondern nekrotisch und solide-inflammatorisch. Zudem fehlen spezifische Serologien und die typische kalzifizierte Kapsel, die für eine Echinokokkenzyste sprechen würden.

Insgesamt ist die Kombination aus epidemiologischer Anamnese, Klinik, Bildgebung und positiver Serologie die Diagnose eines amöbischen Leberabszesses am wahrscheinlichsten.

Therapie und Verlauf

Therapie:

  1. Antiparasitäre Behandlung: Beginn einer Therapie mit Metronidazol (750 mg 3× täglich über 10 Tage).
  2. Begleitende Antibiotika: Zur Behandlung einer möglichen bakteriellen Superinfektion wurde Ceftriaxon empirisch für 5 Tage verabreicht.
  3. Interventionelle Therapie: Da der Abszess eine kritische Größe aufwies, wurde eine ultraschallgesteuerte Aspiration zur Druckentlastung durchgeführt.
  4. Ernährung: Sicherstellung der adäquaten Hydratation und Kalorienzufuhr.

Verlauf:

Bereits nach 48 Stunden unter Metronidazol zeigte sich eine deutliche klinische Besserung mit Fieberrückgang und verminderter Schmerzsymptomatik. Nach einer Woche war der Allgemeinzustand stabil, und die Entzündungswerte begannen sich zu normalisieren. Nach 10 Tagen konnte die Patientin mit einer oralen Erhaltungstherapie mit Paromomycin zur Eliminierung intraluminaler Amöben entlassen werden. Regelmäßige Verlaufskontrollen wurden zur vollständigen Rückbildung des Abszesses bei ihrem Hausarzt eingeplant.

Haben Sie eine Kasuistik, die Sie gerne teilen möchten?

Schicken Sie uns die Details Ihrer Kasuistik an content@esanum.de. Ihr Beitrag wird vor der Veröffentlichung von unseren Medizinern überprüft und die finale Version nur mit Ihrer Zustimmung veröffentlicht.