Rätselhafte akrale Läsion: Rasant wachsender Knoten am Finger einer Schwangeren

Eine 28-jährige Lehrerin im sechsten Schwangerschaftsmonat stellt sich mit einem rasch wachsenden, kirschgroßen, glasigen Knoten am Zeigefinger vor. Die Läsion entwickelte sich innerhalb von sechs Wochen und blutet leicht bei Berührung. Welche Diagnose vermuten Sie?

Anamnese

Die 28-jährige Oberstufenlehrerin ist wegen eines schmerzlosen, aber größenprogredienten Tumors am Zeigefinger der linken Hand sehr beunruhigt. Dieser sei im Zeitraum von etwa  6 Wochen aus einem zunächst nur streichholzkopfgroßen roten Knötchen herangewachsen. Es bestünde starke Verletzlichkeit, denn schon bei kleineren Bagatelltraumen käme es zur Blutung. Ein Trauma im Bereich der Hand ist ihr nicht erinnerlich. Die Patientin ist im 6. Monat schwanger.

Hautbefund

Am Fingerendglied des linken Zeigefingers imponiert ein etwa kirschgroßer, vulnerabel wirkender, glasiger rötlich-gelblicher Knoten. Das übrige Integument erscheint unauffällig. Insbesondere axillär links unauffälliger LKN-Status (Abb. 1).

AkraleLaesion_1.png

a

AkraleLaesion_2.png

b

AkraleLaesion_3.png

c

AkraleLaesion_4.png

d

AkraleLaesion_5.png

e

AkraleLaesion_6.png

f

AkraleLaesion_7.png

g

AkraleLaesion_8.png

h

Abb. 1: Patientin im 7. SSM (a). An der lateralen Endphalanx des Dig. II links findet sich ein maximal 2 cm durchmessender glasig glänzender, fibrinös belegter, teils hämorrhagisch tingierter, teils rund und breit aufsitzender Exophyt (b-d). Die Umgebung ist moderat gerötet. Der obere Anteil wird von der noch intakten Epidermis kragenartig umschlossen (e,f). Dermatoskopisch ist eine ausgeprägte Vaskularisiation mit Hämorrhagien auffällig. Daneben findet sich auch eine Impetiginisierung (g,h).

Paraklinik

Unauffälliges Routinelabor.

Mikrobiologie

Bakteriologischer Abstrich: Mäßig Straphylococcus aureus.

Virologie: HSV1 und HSV2 negativ.

Radiologie

Röntgen der linken Hand: insbesondere im Bereich des 1. Strahles unauffälliges Handskelett. Hinweis auf Weichgewebeschwellung im Bereich der Endphalanx Dig II. Ausschluss einer Osteomyelitis. 

Therapie und Verlauf

Die blickdiagnostische Betrachtung eines solchen derb palpablen vulnerabel-erosiven Knotens zwingt zu einer Reihe von Differenzialdiagnosen. Gerade in der besonderen Situation der Schwangerschaft war eine rasche Klärung, insbesondere der Dignität, erforderlich.

In Frage kam ein epitheliales Neoplasma, etwa im Sinne eines Spinalioms, dem jedoch das relativ rasche Wachstum und das junge Lebensalter der Patientin entgegensprach. Ein rasches malignes Wachstum wäre etwa bei einem Osteosarkom oder einem malignen Melanom denkbar. Letztes hätte hier allerdings ein eher seltenes amelanotisches Melanom sein müssen, denn dermatoskopisch war keinerlei pathologisches Pigment erkennbar. Das maligne epitheloide Hämangioendotheliom (EHE) ist ein sehr seltener maligner vaskulärer Tumor, der eher vom Endothel der Blutgefäße ausgeht und zumeist innere Organe betrifft. Ein Hämangiosarkom oder ein ossäres Sarkom waren entsprechend des unauffälligen Röntgenbefundes unwahrscheinlich. Ein Keratoakanthom, ein benigner schnellwachsender epithelialer halbkugeliger Tumor mit zentralem Hornpfropf in den lichtexponierten Arealen, tritt in den allermeisten Fällen jenseits des 60. Lebensjahres auf. 

Auch bestimmte virale Infektionen können knotige Hautläsionen hervorrufen. Die durch epitheliotrophe humane Papillomaviren (HPV) hervorgerufene Verrucae vulgares zeigt sich durch hautfarbene oder grauweiße Knoten, die allenfalls kleine punktförmige Hämorrhagien aufweisen. Erosiv-nässende Knoten im Bereich der akralen Extremitäten wie im vorliegenden Fall können vor allem durch die Kuhpocken erzeugt werden. Diese Poxviren werden zunehmend über Hausratten und Katzen übertragen und verursachen erosiv-krustige Knoten an den Kontaktstellen. Wie auch die Schafpocken (Orf) werden die Kuhpocken aber bislang zumeist bei beruflicher Exposition erworben. Im vorliegenden Fall machte die hinsichtlich Haus-oder Nutztierkontakt negative Anamnese eine derartige Dermatose unwahrscheinlich. Gegen eine Herpes simplex-Infektion sprach der lange Bestand, der exophytische Aspekt und letztlich auch die negative Virologie. 

Welche Verdachtsdiagnose haben Sie, wenn Sie die Fallbeschreibung genauer betrachten? Welche Fragen würden Sie dem Patienten stellen, um den Fall zu lösen?

Gerne können Sie dies in der Kommentarfunktion diskutieren. Die Auflösung folgt in Kürze.

Hier erfahren Sie, ob Sie richtig diagnostiziert haben

Weiteres Vorgehen und Therapie

Der glasig-hämorrhagische Aspekt, das rasche Größenwachstum und der Hintergrund der Schwangerschaft wiesen mit der höchsten Wahrscheinlichkeit auf ein Granuloma pyogenicum hin. Die Bezeichnung ist ein historisch gewachsenes Misnomer, denn weder besteht ein Granulom noch ist eine „eitrige“ Infektion im Spiel. Vielmehr handelt es sich um ein eruptives Hämangiom. Es ist definiert als ein benigner vaskulärer Tumor der Haut und der hautnahen Schleimhäute aus der Gruppe der Hämangiome. Der plötzlichen progredienten Entstehung geht oftmals ein Bagatelltrauma wie z.B. eine Stichverletzung voraus. Bei spontaner Entstehung können hormonelle Veränderungen, insbesondere während einer Schwangerschaft, die Ursache sein. 

Es gibt unterschiedliche Formen in verschiedenen Manifestationen: Vom klassischen solitären Granuloma pyogenicum werden das disseminierte (eruptive) Granuloma pyogenicum mit multiplen kleinen aggregierten Papeln und das Granuloma pyogenicum mit Satellitenläsionen unterschieden. Letzteres wird vor allem bei Kindern und bei jungen Erwachsenen beobachtet, wobei um den primären Herd herum umschrieben multiple Satellitenknötchen synchron aufschießen.

Das subkutane und das intravasale Granuloma pyogenicum sind histologische Diagnosen. Speziell in der Schwangerschaft ist die Manifestation im Bereich der Mundschleimhaut als Epulis gravidarum häufig. Obschon eine Erstmanifestation ab dem ersten Lebensjahr möglich ist, tritt das Granuloma pyogenicum zumeist zwischen dem 2. und 5. Lebensjahrzehnt auf. Typischer Befund ist der halbkugelige rötlich-bläuliche, erosiv-vulnerable solitäre Knoten, der zunehmend in der Basis von der Epidermis kragenartig abgeschnürt wird. 

Tab. 1 zeigt eine Übersicht über die wichtigsten exophytischen schmerzlosen Knoten an den Extremitäten Akren.

Die Therapie der Wahl ist die Exzision in Lokalanästhesie ohne Sicherheitsabstand. Alternativ wird Laserablation versucht, aber die Rezidivrate ist hier hoch. Prinzipiell und insbesondere nach der Schwangerschaft sind auch Spontanheilungen durch Involution möglich. 

Tab. 1. Differenzialdiagnosen schmerzloser Knoten an den Extremitäten Akren.
Dermatose Definition
Kutanes Plattenepithelkarzinom (Spinaliom) Von den epidermalen Keratinozyten der Haut ausgehender maligner Tumor des höheren Lebensalters.
Keratoakanthom Von den Haarfollikelzellen ausgehender niedrigmaligner Tumor des höheren Lebensalters. Malignes Potential möglich.
Akrolentiginöses malignes Melanom  Hochmaligner Tumor der Melanozyten. Schwarzbraune Pigmentierung (amelanaotisches Melanom sehr selten).
Granulationsgewebe („wildes Fleisch“), Keloid Gutartige Gewebeproliferation nach Verletzungen.
Granuloma pyogenicum (eruptives Hämangiom) Benigner vaskulärer Tumor der Haut- und Schleimhäute aus der Gruppe der Hämangiome.
Hämangiosarkom Seltener, hochmaligner, spät metastasierender Gefäßtumor.
Epitheloides Hämangioendotheliom (EHE) Niedrig- bis mittelmaligne Gefäßtumore der Leber, der Lunge und der Haut und Weichteile der Extremitäten.
Kuhpocken Benigne  Viruserkrankung durch das Parapoxvirus bovis (Paravakziniavirus) mit Entstehung von schmerzlosen Papeln und Knoten.
Orf (Echthyma contagiosum) Benigne Viruskrankheit durch das Orf-Virus (von Schafen übertragen) mit Entstehung von schmerzlosen Knoten.
Verrucae vulgares Benigne Epithethelhyperplasie durch HPV.

Aufgrund des raschen Größenwachstums mit möglicher Alteration des Nagelwachstums, zur sicheren Abklärung der Dignität und insbesondere auch auf Wunsch der Patientin, erfolgte die handchirurgische Entfernung der Läsion. In der Histologie bestätigte sich die Arbeitsdiagnose eines sogenannten Granuluma pyogenicums bzw. ätiologisch exakt, eines eruptiven Hämamgioms (Abb. 2). 

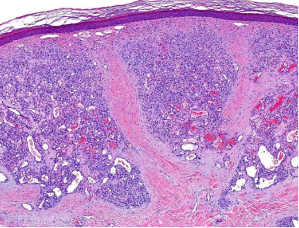
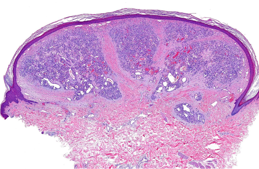
image2a.png

a

image2b.png

b

Abb. 2. Typische Histologie eines Granuloma pyogenicum mit multiplen lobulären Kapillarkonvoluten in der Dermis mit bindegewebigen Septen und möglicher Erosion der darüberliegenden Epidermis mit neutrophiler und lymphozytärer Infiltration (a,b). Typisch ist die seitliche epitheliale Collerette (Kragenbildung).

Fazit

Das Granuloma pyogenicum ist ein aufschießender benigner Gefäßtumor, der infolge punktueller Bagatelltraumata oder unter hormonellem Einfluss wie während einer Schwangerschaft entsteht und korrekterweise als eruptives Hämangiom bezeichnet werden sollte. Die für die Betroffenen beunruhigenden, erosiven Knotenbildungen sollten stets auch unter differenzialdiagnostischen Gesichtspunkten, insbesondere in Abgrenzung zu Malignomen, betrachtet werden. Obwohl spontane Involution möglich ist, ist die knappe Exzision die Therapie der Wahl.

Haben Sie eine Kasuistik, die Sie gerne teilen möchten?

Schicken Sie uns die Details Ihrer Kasuistik an content@esanum.de. Ihr Beitrag wird vor der Veröffentlichung von unseren Medizinern überprüft und die finale Version nur mit Ihrer Zustimmung veröffentlicht.