Patient mit Ataxie, Doppelbildern und Verwirrtheit

Ein 56-jähriger Patient stellt sich mit seiner Frau in der Notaufnahme mit Ataxie, Diplopie und Konfusion vor. Helfen Sie uns, diesen kniffligen Fall zu lösen.

Anamnese und klinische Untersuchung

Der Patient gibt an, seit einigen Tagen unter zunehmender Gangunsicherheit zu leiden und bemerkt seit kurzem Doppelbilder. Seine Frau berichtet zudem von einer auffälligen Verwirrtheit und Orientierungslosigkeit, die sich über die letzten Tage verschlimmert hat. Der Mann berichtet über einen Arbeitsunfall vor zwei Jahren, der sein Leben verändert hat. Seitdem er frühberentet wurde, ist er launig geworden. Laut eigenen Angaben trinkt er täglich vier Bierflaschen. Er lebt mit seiner Frau und seinem Hund in einer Zweizimmerwohnung.

Bei der klinischen Untersuchung fällt eine deutliche Ataxie beim Gehen auf, verbunden mit Störungen der Okulomotorik in Form von horizontalem Nystagmus und Doppelbildern. Eine psychische Beeinträchtigung zeigt sich in der Form von depressiver Verstimmung, Verwirrtheit und Gedächtnislücken, die mit dem Mini-Mental-Test festgestellt wurden. 

Laborwerte

Laborwerte_Kasuistik.png

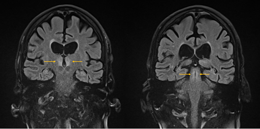
Kopf-MRT

Kasuistik_MRT_Alkohol.png

FLAIR-Sequenz: symmetrische hyperintense Signalveränderungen in den Corpora mamillaria sowie in den periventrikulären Bereichen des dritten Ventrikels und des aquäduktalen Mittelhirns.

Wie lautet Ihre Verdachtsdiagnose?

  1. Hepatische Enzephalopathie
  2. Wernicke-Enzephalopathie
  3. ZNS-Lymphom
  4. Multiple Sklerose

Hier erfahren Sie, ob Sie richtig lagen:

Diagnose

Wernicke-Enzephalopathie, verursacht durch einen schweren Thiaminmangel aufgrund chronischen Alkoholabusus und möglicherweise unausgewogener Ernährung.

Therapie und Verlauf

Der Patient wurde sofort mit intravenösem Thiamin (Vitamin B1) behandelt, um die neurologischen Symptome zu lindern und eine mögliche Verschlechterung zu verhindern. Eine weitere Vitamin-B-Supplementation und eine unterstützende Elektrolyttherapie wurden begonnen. Es wurde eine Alkoholkarenz empfohlen und eine psychosoziale Betreuung eingeleitet.
Nach einigen Tagen zeigte sich eine allmähliche Besserung der Ataxie und der Okulomotorik. Die Verwirrtheit ließ nach, und die neurologischen Symptome stabilisierten sich. Der Patient wurde nach dem 14-tägigen Aufenthalt im Krankenhaus in ein Entzugsprogramm und eine Ernährungsberatung überwiesen, um seine langfristige Genesung zu fördern und Rückfälle zu verhindern.