Ein seltener Fall von Gürtelrose mit explosiven Folgen

Bei einer Herpes-Zoster-Infektion im Sakralbereich kann es zu akutem Harnverhalt und Defäkationsstörungen kommen. Ein Case Report berichtet über eine spontane Blasenruptur.

Varizella-Zoster-Virus: Eine Bekanntschaft, die für immer bleibt

Das Varizella-Zoster-Virus verbleibt bekanntlich nach Erstkontakt (aerogen oder direkt über hochkontagiöse Bläschen) lebenslang in den Spinalganglien der betroffenen Person. Bei Reaktivierung kann es zur Gürtelrose kommen. Vor allem bei älteren und immungeschwächten Personen kann diese Hautinfektion zu Komplikationen im Bereich des Harnsystems führen. Hier kann es als Folge der Herpes-Zoster-Infektion zu akutem Harnverhalt und Defäkationsschwierigkeiten kommen.1

Krankenhauseinweisung bei Gürtelrose mit ganz speziellen Komplikationen


Hier lesen Sie den gesamten Case Report:

Im vorliegenden Fall (A Rare Case of Spontaneous Bladder Rupture in a Herpes Zoster Patient, doi: 10.2147/IDR.S380752) traf die Reaktivierung der Herpes-Zoster-Infektion einen 77-jährigen Mann mit einer 10-jährigen Vorgeschichte von Bluthochdruck und Typ-2-Diabetes. Eine Woche vor seiner notfallmäßigen Hospitalisierung – aufgrund der infektiös bedingten Blasenruptur – erhielt er eine antivirale, analgetische und ernährungsbedingte Nervenbehandlung für seine Herpes-Zoster-Infektion im Sakralbereich (siehe Abbildung 1). Seine Therapie umfasste 0,3 g Valaciclovir 2 x tgl. per os, 0,25 g Diflunisal 2 x tgl. per os sowie 0,5 mg Methylcobalamin 3 x tgl. per os.1

image1.jpg

Abbildung 1: Gürtelrose im Hautbereich der sakralen Spinalnervensegmente S2-S4.1

Abnorme Vitalparameter, Abwehrspannung und Rebound-Empfindlichkeit 

Kurz vor seiner Einlieferung in die Klinik klagte er über Bauchschmerzen und leichte Kurzatmigkeit. Im Krankenhaus angekommen, berichtete der Patient, dass er seit 4 Tagen Schwierigkeiten beim Wasserlassen und Stuhlgang hatte. Es lag kein Trauma in der Vorgeschichte vor. Es zeigte sich eine deutliche Aufblähung des druckdolenten Bauches. Abwehrspannung und Rebound-Empfindlichkeit unterstrichen die Dringlichkeit des Befundes. Auch die Vitalparameter waren abnorm gewesen: 

  • Herzfrequenz von 136 Schlägen/min
  • Blutdruck von 170/99 mmHg 
  • Atemfrequenz von 22 Atemzügen/min.1

Massiver Aszites im CT

Das ärztliche Team vor Ort wollte den Defäkationsschwierigkeiten auf den Grund gehen und führte eine digital-rektale Untersuchung durch. Es zeigte sich lediglich eine vergrößerte Prostata ohne tastbare Knoten. Weiterführende Untersuchungen ergaben einen massiven Aszites: Mittels abdominaler Computertomographie (CT) konnte eine große Flüssigkeitsmenge im Bereich des Abdomens und Beckens dargestellt werden. Der Dickdarm war prall gefüllt. Das ärztliche Team dachte erst zu diesem Zeitpunkt an eine Blasenruptur als Folge der Varizella-Zoster-Infektion – bis dato gab es so einen Fall noch nie.1

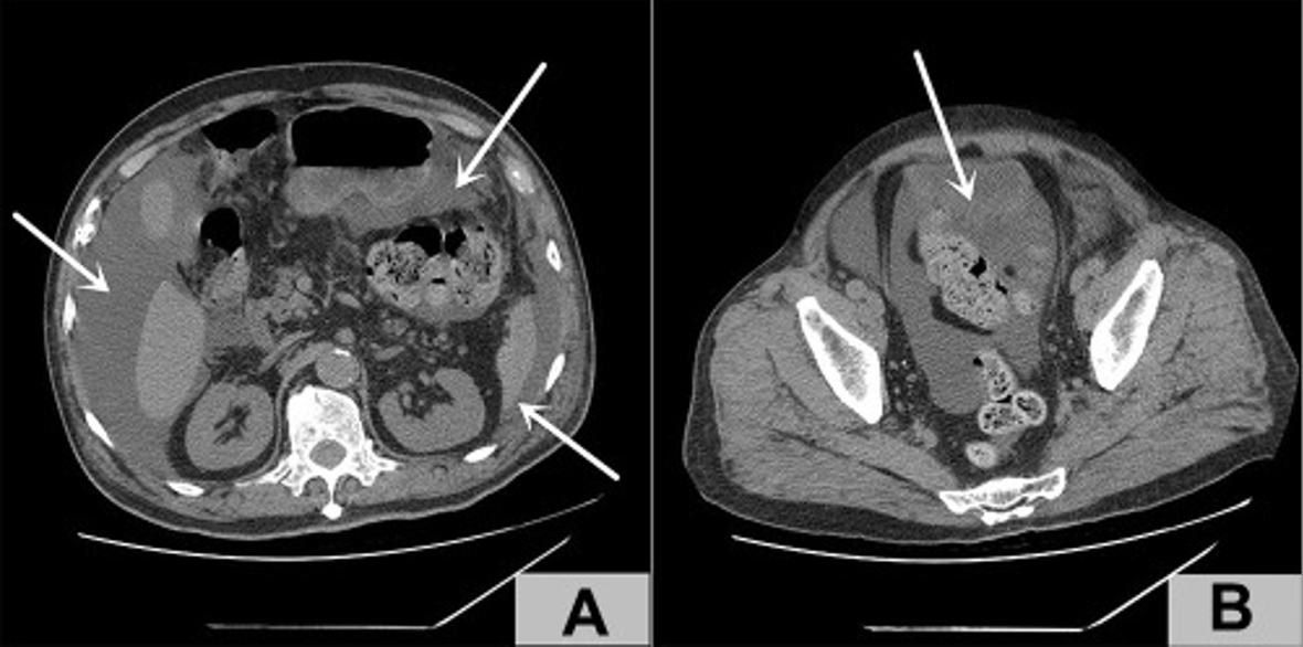
image2.png

Abbildung 2: Im Bildabschnitt A markieren die weißen Pfeile die Flüssigkeitsansammlung im Abdomen. Der weiße Pfeil in Bildabschnitt B zeigt auf die Stelle, an der die Blasenruptur vermutet wurde.1 

Dringende Verlegung auf die Intensivstation 

Die Untersuchung der Blutwerte ergab eine metabolische Azidose mit Hyperkaliämie. Der Kaliumwert lag bei 6,53 mmol/l, der Kreatininwert bei 558 μmol/l und der D-Dimer-Wert bei 6,93 mg/l. In der Blutgasanalyse konnte eine Hypoxie festgestellt werden. Zur weiteren Versorgung und Stabilisierung der Blutwerte wurde der Patient auf die Intensivstation verlegt.1

Vollständige Wiederherstellung der Blasenfunktion nach operativem Eingriff

Mittels Katheter konnte über einen Zeitraum von 3 Stunden insgesamt 3300 ml blutiger Urin abgeleitet werden. Anschließend wurde die infektiös bedingte intraperitoneale Blasenruptur operativ versorgt. Intraoperativ konnte das ärztliche Team einen rund 2 cm langen Riss an der Blasenwand lokalisieren. Postoperativ erhielt der Patient alle 8 Stunden 2 g Cefoperazone/Sulbactam. Bereits am 2. postoperativen Tag normalisierten sich die Nierenwerte des Patienten wieder. Am 3. Tag war die Defäkation wiederhergestellt und am 13. postoperativen Tag konnte der Blasenkatheter endlich entfernt werden. Die 2- bis 3-wöchige Herpes-Zoster-Behandlung unterstütze die Normalisierung der Miktions- und Defäkationsfunktion des Patienten.1

Virale Ausbreitung innerhalb der Nerven als Ursache

Das ärztliche Team vermutete als Ursache für die Funktionsstörung des Harnsystems eine Ausbreitung der Virusinfektion innerhalb der peripheren Nerven – einschließlich der sensorischen Nerven, die die Haut im Sakralbereich (S2-S4), die Blase und das distale Kolon innervierten- sowie der parasympathischen motorischen Neuronen.1

Fazit für die Praxis: Gürtelrose im Sakralbereich äußerst gefährlich

  • Die Gürtelrose im Sakralbereich kann mit einer Funktionsstörung des Harnsystems einhergehen, die zu einem akuten Harnverhalt führen kann. 
  • Bei akutem Harnverhalt bei Varizella-Zoster-Infektion ist eine dringende Intervention erforderlich, um eine Blasenruptur zu vermeiden.1 
Quelle:
  1. Huang J. et al. (2022). A Rare Case of Spontaneous Bladder Rupture in a Herpes Zoster Patient. Infect Drug Resist. 2022 Sep 5;15:5193-5196.
  2. Simon L. V. et al. (2024).Bladder Rupture. StatPearls Publishing LLC.

Haben Sie eine Kasuistik, die Sie gerne teilen möchten?

Schicken Sie uns die Details Ihrer Kasuistik an content@esanum.de. Ihr Beitrag wird vor der Veröffentlichung von unseren Medizinern überprüft und die finale Version nur mit Ihrer Zustimmung veröffentlicht.