Ein junger Patient mit ungeklärter Anämie

Ein 26-jähriger Mann stellt sich in der Notaufnahme vor. Er wirkt blass und berichtet über eine zunehmende Müdigkeit und Belastungsdyspnoe seit mehreren Monaten. In den letzten Wochen hat er auch einen diffusen Schmerz im rechten Oberbauch bemerkt.

Anamnese und klinische Untersuchung

Laborwerte

Die initiale Blutuntersuchung zeigt folgende Auffälligkeiten:

Laborparameter Ergebnis Referenzbereich
Hämoglobin (HB) 8,4 g/dL 13,5 - 17,5 g/dL (Männer)
Hämatokrit (Hkt) 27% 40 - 50 % (Männer)
Mittleres Korpuskuläres Volumen (MCV)
66 fL 80 - 100 fL
Mittleres Korpuskuläres Hämoglobin (MCH) 22 pg 27 - 33 pg
Retikulozyten 3,7% 0,5 - 2,5 % der Erythrozyten
Ferritin 377 ng/mL 30 - 300 ng/mL (Männer)
Gesamt-Bilirubin 2,5 mg/dL 0,1 - 1,2 mg/dL
Indirektes Bilirubin 1,8 mg/dL < 1 mg/dL
Laktatdehydrogenase (LDH) 320 U/L 135 - 225 U/L
Haptoglobin 18 mg/dL 30 - 200 mg/dL
Hämoglobin F (HbF) 2,8% < 1 %

Bildgebung

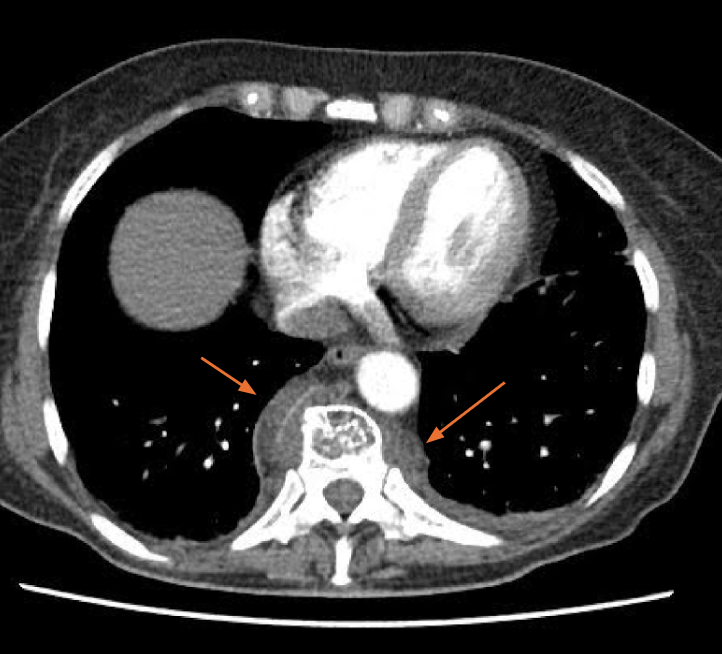
Eine CT-Thorax-Untersuchung wurde zum Ausschluss einer Lungenarterienembolie bei Dyspnoe veranlasst. Diese zeigt erweiterte knöcherne Markräume und extra-medulläre Hämatopoese (EMH) entlang der Wirbelsäule, insbesondere im paravertebralen Bereich (Pfeile). Diese extra-medulläre Hämatopoese tritt als weichteildichte Raumforderung auf, die entlang der Rippenmuskulatur und teilweise im posterioren Mediastinum zu sehen ist. Die Ultraschalluntersuchung des Abdomens zeigte eine Splenomegalie (Pol-zu-Pol Abstand von ca. 21 cm)

Kasuistik Aymen Meddeb.png

Kasuistik Aymen Meddeb Sonographie.png

Verdachtsdiagnose

Wie lautet Ihre Verdachtsdiagnose?

  1. Beta-Thalassämie intermedia
  2. Eisenmangelanämie
  3. Sichelzellanämie
  4. Myelodysplastisches Syndrom


Hier erfahren Sie, ob Sie richtig lagen:

Auflösung

Diagnose

Beta-Thalassämie intermedia

Die Laborwerte sprechen für eine mikrozytäre und hypochrome Anämie mit hämolytischen Zeichen (erhöhtes Bilirubin, erhöhtes LDH, erniedrigtes Haptoglobin) sowie eine erhöhte Retikulozytenzahl. Die Hämoglobin-Elektrophorese zeigt eine Erhöhung des HbF, was typisch für Beta-Thalassämie-Patienten ist.

Laborparameter Ergebnis Referenzbereich Interpretation
Hämoglobin (HB) 8,4 g/dL 13,5 - 17,5 g/dL (Männer)
Erniedrigt, Hinweis auf Anämie
Hämatokrit (Hkt) 27% 40 - 50 % (Männer)
Erniedrigt, unterstützt Diagnose einer Anämie
Mittleres Korpuskuläres Volumen (MCV)
66 fL 80 - 100 fL
Mikrozytär (kleine Erythrozyten)
Mittleres Korpuskuläres Hämoglobin (MCH) 22 pg 27 - 33 pg
Hypochrom (niedriger Hämoglobingehalt pro Zelle)
Retikulozyten 3,7% 0,5 - 2,5 % der Erythrozyten
Erhöht, Hinweis auf gesteigerte Erythropoese
Ferritin 377 ng/mL 30 - 300 ng/mL (Männer)
Normal, spricht gegen Eisenmangelanämie
Gesamt-Bilirubin 2,5 mg/dL 0,1 - 1,2 mg/dL
Erhöht, Hinweis auf Hämolyse
Indirektes Bilirubin 1,8 mg/dL < 1 mg/dL
Erhöht, typischerweise bei hämolytischer Anämie
Laktatdehydrogenase (LDH) 320 U/L 135 - 225 U/L
Erhöht, Hinweis auf Zellzerfall (Hämolyse)
Haptoglobin 18 mg/dL 30 - 200 mg/dL
Erniedrigt, spricht für Hämolyse
Hämoglobin F (HbF) 2,8% < 1 %
Erhöht, typisch für Beta-Thalassämie

Definition

Beta-Thalassämie intermedia ist eine Erkrankung aus dem Spektrum der Beta-Thalassämien, die klinisch zwischen der milden Beta-Thalassämie minor und der schwerwiegenden Beta-Thalassämie major liegt. Sie ist gekennzeichnet durch eine variierende Anämie, oft mit leichtem bis mittlerem Schweregrad, und kann zu Komplikationen wie Splenomegalie, extramedullärer Hämatopoese und Skelettdeformitäten führen. Ursache ist meist eine genetische Mutation, die die Produktion der Beta-Globin-Kette in Hämoglobin beeinträchtigt.

Therapie

Die Behandlung bei Beta-Thalassämie intermedia ist symptomatisch und umfasst:

  • Regelmäßige Bluttransfusionen in Fällen von schwerer Anämie
  • Eisenchelation, um einer Eisenüberladung entgegenzuwirken, die durch häufige Transfusionen entstehen kann
  • Splenektomie bei schwerer Splenomegalie und hämatologischer Komplikationen
  • Folsäure-Supplementation, um die Erythropoese zu unterstützen
  • Vermeidung von Infektionen und regelmäßige Impfungen

Verlauf des Patienten

Der Patient erhielt eine Bluttransfusion, um seinen Hämoglobinspiegel zu stabilisieren. Nach Beratung und genetischer Testung wurde die Diagnose der Beta-Thalassämie intermedia bestätigt. Es wurde ein Behandlungsplan erstellt, der regelmäßige Überwachungen der Eisenwerte und ggf. eine Eisenchelationstherapie umfasst. Nach einigen Wochen verbesserte sich sein Allgemeinzustand, und die Müdigkeit nahm ab.