Kasuistik: Schülerin mit depressiven Episoden, Gangstörung und Doppelbildern

Akute Doppelbilder und Gangstörungen lassen eine Jugendliche in der Notaufnahme vorstellig werden. Ihre Mutter berichtet außerdem von depressiven Verstimmungen. Wie lautet Ihre Diagnose?

Depressive Episoden, Gangstörung und Doppelbilder: Was steckt dahinter? 

Anamnese: 

Die 14-jährige E. S. erschien in der Rettungsstelle, begleitet von ihren Eltern, und berichtete von seit zwei Tagen bestehenden Doppelbildern und Gangunsicherheit. Die Ärztin bemerkte, dass das Mädchen besonders niedergeschlagen wirkte und erkundigte sich bei der Mutter nach weiteren Auffälligkeiten. Nach einer kurzen Pause berichtete die Mutter sichtlich beunruhigt, dass ihre Tochter seit einigen Monaten unter einer depressiven Verstimmung leidet und sie vor einem Jahr sogar suizidale Gedanken geäußert hat. Als Reaktion darauf unternahm die Familie eine Urlaubsreise, wodurch sich die Stimmung der Patientin kurzfristig besserte. Allerdings verschlechterten sich die schulischen Leistungen, weshalb die Familie in Erwägung zieht, psychologische Beratung in Anspruch zu nehmen.

Klinische Untersuchung:

14-jähriges Mädchen in stabilem Allgemeinzustand und adipösem Ernährungszustand. Hautkolorit rosig, Mikrozirkulation unauffällig, guter Hautturgor, kein Exanthem oder Blutungszeichen. Diplopie an beiden Augen, monopedales Stehen und Laufen auffällig, etwas breitbasiger Gang. Finger-Finger- und Finger-Nase-Versuch unauffällig. Kein Meningismus.

Labor und Liquordiagnostik: 

C-reaktives Protein 8 mg/l. Leukozyten: 7.28/nl. Liquor: 13 Zellen/μl, sonst unauffällig für Glucose, Laktat. Antikörper-Analyse im Liquor folgt.

Bildgebung: 

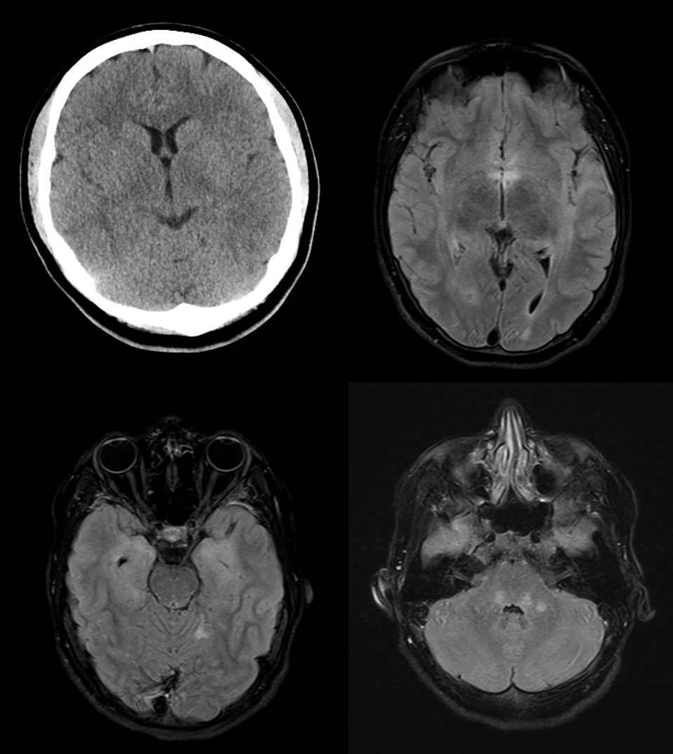
Mittels notfallmäßiger Computertomographie wurde eine Akutpathologie wie Blutung oder Infarkt ausgeschlossen. Anschließend wurde eine Magnetresonanztomographie durchgeführt, diese zeigte die folgenden pathologischen Veränderungen (siehe folgende Abbildung 1):

Kasuistik_Abbildung1.png

Wie lautet ihre Verdachtsdiagnose?


Hier erfahren Sie, ob Sie richtig diagnostiziert haben:

MRT-Befund: 

Die MRT-Untersuchung zeigte ausgeprägte T2w-Hyperintensitäten in der Medulla oblongata, weniger im kaudalen Tegmentum pontis, im zerebellären Marklager rechts, im subkortikalen Marklager am Hinterhorn links, insulär/temporal rechts, um die Temporalhörner, im posterioren Cingulum rechts und frontal beidseits. Der bildgebende Befund ist vereinbar mit einer limbischen Enzephalitis. 

Verlauf und Therapie:

Nach der initialen Diagnostik wurde die Patientin zur weiteren Abklärung auf der neurologischen Station aufgenommen. Bei der Aufnahme wurden zudem eine sakkadierte Blickfolge, Doppelbilder und eine Gangstörung festgestellt. Über einen Zeitraum von 5 Tagen wurde eine Methylprednisolon-Stoßtherapie verabreicht. Unter dieser Behandlung zeigte sich eine leichte Besserung der Symptome, insbesondere gingen die sakkadierte Blickfolge und die Gangstörung zurück. Trotzdem traten weiterhin starke Verhaltensauffälligkeiten auf, wie Distanzminderung, plötzlich unerklärliche Ängste und kindliches Verhalten. Nachdem im Liquor positive NMDA-Rezeptor-Antikörper festgestellt wurden, erfolgte die Einleitung einer Immunadsorption über insgesamt 7 Zyklen. In der Folge entwickelte die Patientin Fieber und es wurde eine Pneumonie diagnostiziert. Nach einer antibiotischen Behandlung verbesserte sich der Allgemeinzustand der Patientin. In dem infektfreien Intervall wurde gemäß den Leitlinien eine erweiterte immunmodulatorische Therapie mit Rituximab eingeleitet. Diese wurde alle sechs Wochen über zwei Jahre fortgesetzt. Infolgedessen besserten sich sowohl die psychischen als auch die neurologischen Symptome nach und nach.

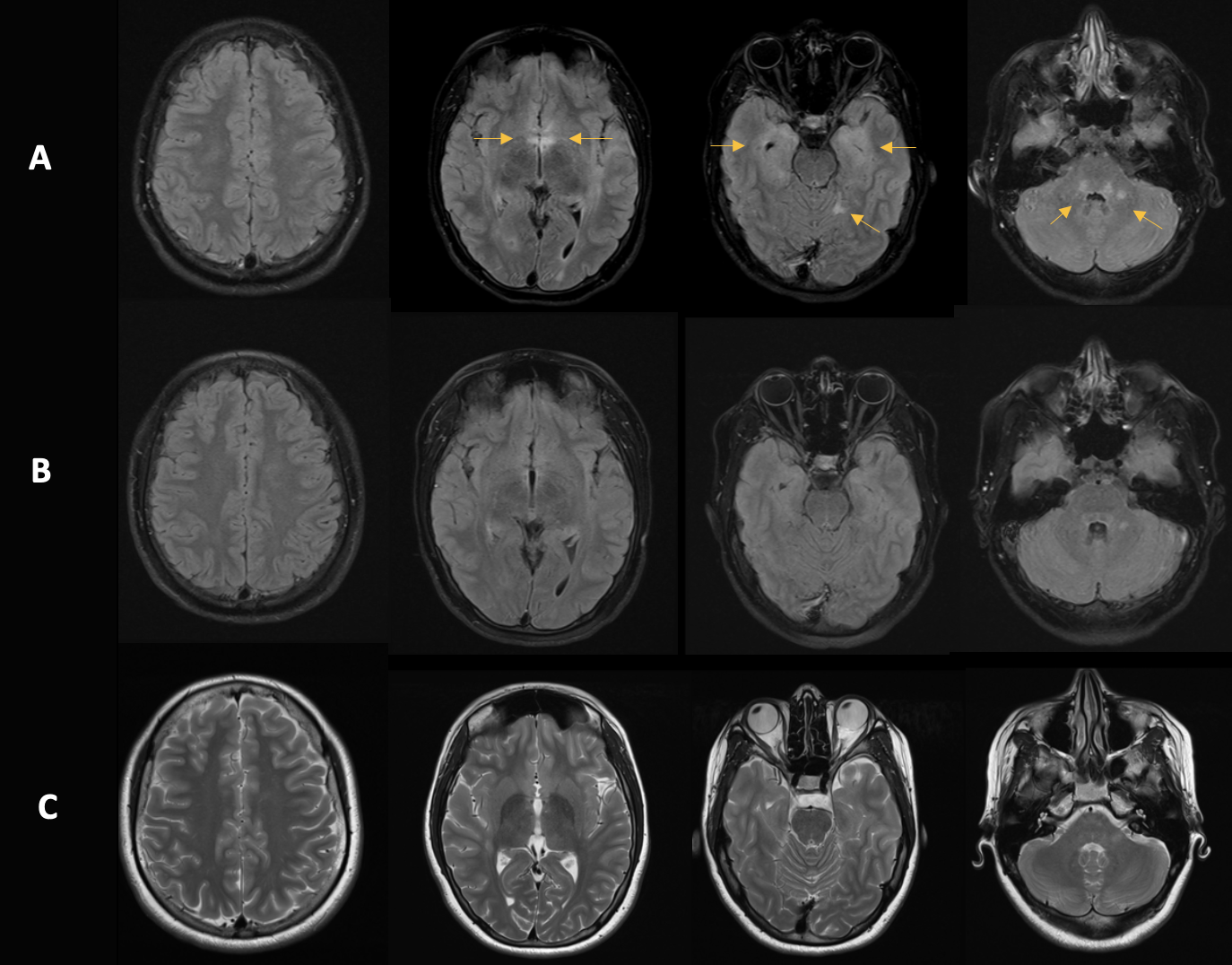
Kasuistik_Abbildung2.png

Abbildung 2: Verlaufskontrollen mittels MRT
A: Initiale Bildgebung. B: Verlaufskontrolle nach 10 Monaten. C: Verlaufskontrolle nach zwei Jahren.
Es zeigt sich eine deutliche Reduktion der T2w-Hyperintensitäten im Laufe der Zeit, was mit der klinischen Besserung korreliert.

Die NMDAR-Enzephalitis, eine seltene und gefährliche ZNS-Erkrankung

Die N-Methyl-D-Aspartat-Rezeptor (NMDA-R) Enzephalitis ist eine Autoimmunerkrankung, die sich durch die Bildung von Antikörpern gegen die NMDA-Rezeptoren im Gehirn auszeichnet. Diese Rezeptoren sind wesentliche Komponenten synaptischer Übertragungen und spielen eine zentrale Rolle bei kognitiven Funktionen, Lernen und Gedächtnis.

Erstmals beschrieben wurde die Erkrankung im Jahr 2007, und seitdem wurde ein zunehmendes Verständnis ihrer klinischen und pathophysiologischen Aspekte gewonnen. Die meisten Patienten sind junge Frauen, und in vielen Fällen kann die Krankheit mit einem Ovarialteratom in Verbindung gebracht werden, einem Tumor, der oft NMDA-Rezeptoren exprimiert. Dennoch kann die Krankheit Menschen jeden Alters und Geschlechts betreffen und kann auch ohne nachweisbaren Tumor auftreten.

Klinisch manifestiert sich die NMDA-Enzephalitis häufig mit einem unspezifischen viralen Prodrom, gefolgt von psychiatrischen Symptomen wie Halluzinationen, Agitation, und paranoidem Verhalten. Diese Phase kann von neurologischen Symptomen, einschließlich Bewusstseinsstörungen, Bewegungsstörungen und Krampfanfällen, gefolgt werden. Das Fortschreiten der Krankheit ohne Behandlung kann zu einem Status epilepticus oder Koma führen.

Die Diagnose basiert auf dem Nachweis von Anti-NMDA-Rezeptor-Antikörpern im Serum oder im Liquor cerebrospinalis und wird durch klinische Symptome und Bildgebungsbefunde unterstützt. Eine frühzeitige Diagnose und Behandlung sind entscheidend für den klinischen Verlauf und das Ergebnis.

Die Therapie der NMDA-Enzephalitis konzentriert sich auf die Immunsuppression, um die Produktion von Antikörpern zu reduzieren und die Entzündung zu kontrollieren. Die Erstlinientherapie umfasst häufig Kortikosteroide, intravenöses Immunglobulin und Plasmapherese. Bei unzureichendem Ansprechen, bei Rezidiv oder bei Vorhandensein eines Tumors kann eine aggressivere Therapie mit Immunmodulatoren wie Rituximab, erforderlich sein.

Take Home Message

Da die Autoimmunenzephalitis meist mit psychischen Symptomen einhergeht, wird sie von den Laien häufig nicht ernstgenommen. Sollten Verhaltensauffälligkeiten neben depressiver Verstimmung festgestellt werden, sollten Kolleginnen und Kollegen in der Praxis sowie im ambulanten Bereich daran denken, eine hirnorganische Ursache für die psychischen Symptome mittels MRT auszuschließen.

 

Haben Sie eine Kasuistik, die Sie gerne teilen möchten?

Schicken Sie uns die Details Ihrer Kasuistik an content@esanum.de. Ihr Beitrag wird vor der Veröffentlichung von unseren Medizinern überprüft und die finale Version nur mit Ihrer Zustimmung veröffentlicht.