Kasuistik: Hypertensive Entgleisung und Verwirrtheit – wegen Nikotin?

Ein 56-Jähriger wird in der Notaufnahme vorstellig: Er scheint äußerst verwirrt und leidet unter hypertensiver Entgleisung. Sind die Beschwerden nur auf seinen Lebensstil zurückzuführen?

Herr F., 56 Jahre alt: hypertensive Entgleisung und Verwirrtheit – Was ist die Ursache der Symptome?

Anamnese und klinische Untersuchung

Die Anamnese ergab, dass Herr F. an einer seit Jahren bestehenden, jedoch schlecht eingestellten Hypertonie litt. In der Vergangenheit hatte er keine schwerwiegenden gesundheitlichen Probleme, abgesehen von gelegentlichen Kopfschmerzen und Müdigkeit, die er jedoch auf seinen stressigen Job und den Nikotinkonsum zurückführte.

Bei der Untersuchung wirkte Herr F. verwirrt und konnte seine Beschwerden nur schwer artikulieren. Zudem berichtete er über verschwommenes Sehen. Sein Blutdruck war mit 190/110 mmHg alarmierend hoch. Eine neurologische Untersuchung zeigte keinen Hinweis auf fokale Defizite, aber einen leichten Nystagmus nach rechts. 

Labor und Liquordiagnostik

Kreatinin 2.5 mg/dL. C-reaktives Protein 4 mg/l. Hämoglobin: 13.4 g/dl. Leukozyten: 5.36/nl. Liquor: 4 Zellen/μl, unauffällig für Glukose, Laktat.

Bildgebung

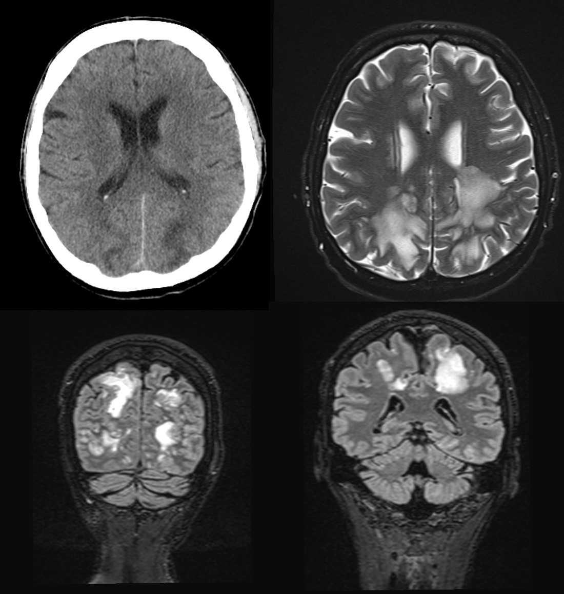
Eine Computertomographie des Kopfes erfolgte zum Ausschluss einer intrakraniellen Blutung. Aufgrund des pathologischen Befundes wurde im Anschluss eine Magnetresonanztomographie durchgeführt. Medical Case - Aymen - Hypertensive Crisis Nicotine.png

Wie lautet Ihre Verdachtsdiagnose? 


Hier erfahren Sie, ob Sie richtig diagnostiziert haben:

MRT-Befund

Die axiale T2 sowie die koronale T2-FLAIR Sequenzen zeigen ausgeprägte flächige T2w-hyperintense Areale im parietookzipitalen Marklager beidseits. Der Kortex ist nicht betroffen. Darüber hinaus kein Nachweis einer intrakraniellen Blutung. Bild vereinbar mit vasogenem Ödem bei Posteriorem reversiblem Enzephalopathie-Syndrom (PRES). 

Diagnose und Behandlung

Die Diagnose des PRES wurde schließlich gestellt. Das Posteriore reversible Enzephalopathie-Syndrom ist durch ein vasogenes Ödem gekennzeichnet, das oft durch schnelle Blutdruckschwankungen, Niereninsuffizienz oder die Einnahme von Immunsuppressiva ausgelöst wird. Herr F.'s langjährige Hypertonie, gepaart mit seiner kürzlichen Verschlechterung der Nierenfunktion, passte gut zu diesem Bild.

Die Aufnahme auf der Stroke-Unit konzentrierte sich auf die sofortige Senkung des Blutdrucks und die Überwachung seiner neurologischen Funktionen. Eine antikonvulsive Therapie wurde als Vorsichtsmaßnahme eingeleitet.

Klinik, Therapie und Prognose des PRES

Die klinischen Merkmale von PRES sind vielfältig und können von Kopfschmerzen über Sehstörungen bis hin zu Übelkeit und verändertem mentalen Status reichen. Glücklicherweise ist das Syndrom oft reversibel, vorausgesetzt, die zugrunde liegende Ursache wird effektiv behandelt.

Herr F. reagierte gut auf die Behandlung. Sein Blutdruck normalisierte sich innerhalb weniger Tage, und die neurologischen Symptome besserten sich ebenfalls. Er wurde darüber aufgeklärt, wie wichtig die Kontrolle seines Blutdrucks und die regelmäßige Überwachung seiner Nierenfunktion sind. Nach einer Woche konnte er das Krankenhaus verlassen, jedoch mit einem strengen Behandlungsplan und regelmäßigen Nachsorgeterminen.

 

Haben Sie eine Kasuistik, die Sie gerne teilen möchten?

Schicken Sie uns die Details Ihrer Kasuistik an content@esanum.de. Ihr Beitrag wird vor der Veröffentlichung von unseren Medizinern überprüft und die finale Version nur mit Ihrer Zustimmung veröffentlicht.