Kasuistik: Brustschmerz, Luftnot und Gewichtsverlust – was steckt dahinter?

Brustschmerzen, zunehmende Luftnot und gelegentlicher Husten führen einen 43-Jährigen in die Notaufnahme. Außerdem hat er in letzter Zeit unerklärlich Gewicht verloren. Wie lautet Ihre Verdachtsdiagnose?

Herr F., 43 Jahre alt: Brustschmerz und Luftnot – Welche Ursache haben die Symptome? 

Anamnese und klinische Untersuchung

Er raucht bis zu einer Schachtel Zigaretten am Tag und koordinierte im letzten Quartal ein besonders stressiges Projekt. Seine Mutter ist an Brustkrebs, sein Vater an einem Herzinfarkt verstorben. Bei der klinischen Untersuchung zeigte sich eine erhöhte Herzfrequenz und leichte Tachypnoe. Auskultatorisch fiel ein leichtes Giemen auf, und der Herzrhythmus war etwas unregelmäßig.

EKG

Das EKG zeigt einen AV-Block 2. Grades Typ Mobitz I (Wenckebach).

Laborwerte

CRP 28 mg/dl. Leukozyten 12 000/µl. Elektrolyte unauffällig. 

Bildgebung

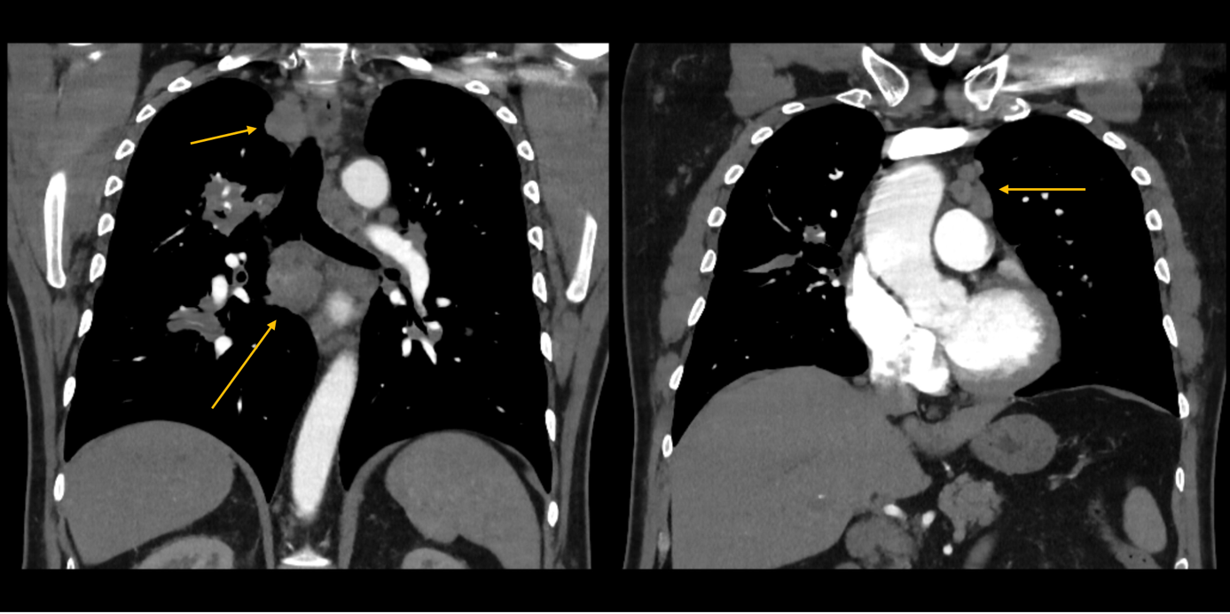
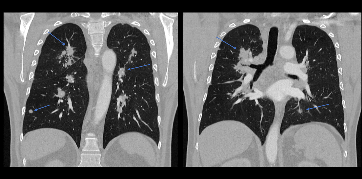
Aufgrund des pulmologischen Befundes wurde eine Computertomographie veranlasst. Im Weichteilfenster zeigten sich massiv vergrößerte mediastinale und bihiläre Lymphknoten (gelbe Pfeile). Im Lungenfenster zeigten sich multiple, zum Teil scharf abgrenzbare, Rundherde, zum Teil grobfleckige Infiltrate (blaue Pfeile).

1 gelbe Pfeile.png

2 blaue Pfeile.png

Der Patient wurde zur weiteren Abklärung stationär aufgenommen. 

Wie lautet Ihre Verdachtsdiagnose und welchen diagnostischen Schritt würden Sie als nächstes veranlassen?

  1. Herzinfarkt: Aufnahme auf der Intensivstation und notfallmäßige Herzkatheteruntersuchung.
  2. Tuberkulose: Sofortige Isolation und Sputumgewinnung.
  3. Bronchialkarzinom (Bronchial-CA): Aufnahme auf Normalstation und Lungenbiopsie.
  4. Sarkoidose: Aufnahme auf eine Überwachungsstation und Bronchoskopie mit BAL.


Hier erfahren Sie, ob Sie richtig diagnostiziert haben:

Verdachtsdiagnose

Aufgrund der komplexen Symptomatik wurde der Patient zur Diagnostik auf eine Überwachungsstation aufgenommen. Angesichts der Brustschmerzen und des AV-Blocks wurde am folgenden Tag eine Herzkatheteruntersuchung durchgeführt, die keine hämodynamisch signifikanten Koronarstenosen offenbarte. In der weiteren Diagnostik erfolgten sowohl eine Lungenbiopsie als auch eine Bronchoskopie. Die histologische Untersuchung des Biopsats offenbarte nicht-verkäsende Granulome ohne Anzeichen von Malignität. In der bronchoalveolären Lavage (BAL) fand sich ein erhöhter CD4/CD8-Quotient und Hinweise auf eine lymphozytäre Alveolitis. Eine Lungentuberkulose konnte mittels Quantiferon-Tests ausgeschlossen werden. In Zusammenschau aller Befunde ergab sich der Verdacht auf eine Sarkoidose mit kardialer Beteiligung.

Definition Sarkoidose

Sarkoidose ist eine granulomatöse Systemerkrankung unklarer Ätiologie, die multiple Organe betreffen kann, insbesondere die Lunge und das lymphatische System. Eine kardiale Beteiligung tritt in etwa 5% der Fälle auf.

Klinik

Die klinische Präsentation kann vielfältig sein und hängt von den betroffenen Organen ab. 

Zu den allgemeinen Symptomen gehören Fieber, Müdigkeit, Gewichtsverlust. Die pulmonale Manifestation äußert sich in Dyspnoe, trockenem Husten und thorakalen Schmerzen.  Bei der kardialen Beteiligung können Brustschmerzen und Arrhythmien auftreten. Neurologische und kognitive Symptome sind seltener, aber bei der Neurosarkoidose möglich.

Es gibt ebenfalls zwei Sonderformen der akuten Sarkoidose: 

  • Löfgren-Syndrom: Eine hochakute Form der Sarkoidose, gekennzeichnet durch Fieber und eine Symptomtrias aus Polyarthritis der Sprunggelenke, Erythema nodosum an den Streckseiten der Unterschenkel und bilhilärer Lymphadenopathie.
  • Heerfordt-Syndrom: Ein seltenes Krankheitsbild, das aus Fieber und durch eine Trias aus Parotitis, Uveitis (Iridozyklitis) und Fazialisparese gekennzeichnet ist.

Diagnostik

Die Diagnose beruht auf der Kombination von klinischen, radiologischen und pathologischen Befunden. Typische Laborbefunde umfassen erhöhte Werte von ACE und gegebenenfalls erhöhte Kalziumwerte. Bildgebende Verfahren wie Röntgen und CT des Thorax zeigen häufig bilaterale Lymphadenopathie und pulmonale Infiltrate. EKG und Echokardiographie sind wichtig zur Beurteilung der kardialen Beteiligung. Bei kognitiven oder neurologischen Symptomen sollte eine Neurosarkoidose mittels cMRT und Liquorgewinnung ebenfalls ausgeschlossen werden. 

Therapie

Die Behandlung besteht hauptsächlich aus Kortikosteroiden zur Kontrolle der Entzündung. Die klare Indikation der Glucocorticoidtherapie ist die akute pulmonale Manifestation mit quantifizierbarer Einschränkung der Lungenfunktion. Bei kardialer Beteiligung sollte ein permanenter AV-Block 2. Grades Typ Mobitz II durch Implantation eines Herzschrittmachers behandelt werden.

Bei schweren oder refraktären Fällen können andere immunsuppressive Medikamente eingesetzt werden. Bei der Sonderform des Löfgren-Syndroms sollte zunächst wegen hoher Spontanremissionsrate (ca. 85%) mit einer antiphlogistischen und symptomatischen Therapie begonnen werden.  

Prognose

Die Prognose variiert und hängt von der Ausdehnung und dem Befall der Organe ab. Viele Patienten erfahren eine vollständige Remission, während andere eine chronische Erkrankung oder – seltener – schwere Komplikationen entwickeln können.

Therapie und Verlauf bei Herrn F. 

Bei Herrn F. wurde eine Kombinationstherapie mit Prednisolon und Methotrexat aufgrund der kardialen Beteiligung eingeleitet. Hierunter verbesserten sich die Dyspnoe und der Allgemeinzustand des Patienten. Bei dem AV-Block wurde zunächst ein Eventrecorder eingebracht, um die Herzrhythmusstörung kontinuierlich zu beobachten. Nach 10 Tagen konnte der Patient in deutlich gebessertem Allgemeinzustand in die Häuslichkeit entlassen werden. Eine regelmäßige Anbindung an die kardiologische Ambulanz wurde mit dem Patienten vereinbart, um den kardialen Zustand engmaschig zu überwachen. 

Haben Sie eine Kasuistik, die Sie gerne teilen möchten?

Schicken Sie uns die Details Ihrer Kasuistik an content@esanum.de. Ihr Beitrag wird vor der Veröffentlichung von unseren Medizinern überprüft und die finale Version nur mit Ihrer Zustimmung veröffentlicht.