Herausforderung in der Kopfschmerzdiagnostik: Die ungewöhnliche Migräne
Ein 52-jähriger Mann mit zunehmend intensiven Migräneattacken im Hinterkopf spricht nicht auf die übliche Therapie an. Was verbirgt sich hinter diesem ungewöhnlichen klinischen Bild?
Starke Migräne im Bereich des Hinterkopfes ohne Besserung auf medikamentöse Therapie – Was steckt dahinter?
Ein 52-jähriger männlicher Patient stellte sich aufgrund rezidivierender Migräneattacken vor. Er litt zudem an einem komplizierten Typ-2-Diabetes mit peripherer Neuropathie mellitus, Hyperlipidämie und Adipositas.1
Seit etwa 4 Monaten hat sich seine Migräne immer weiter verstärkt. Die Attacken traten mittlerweile fast wöchentlich auf und nahmen stetig an Intensität zu – vor allem der Hinterkopf war hiervon schwer betroffen gewesen. Der Patient verneinte neue fokale neurologische Defizite, Veränderungen der Migräne-Aura, Taubheit, Schwäche, Gesichtsasymmetrie, Krampfanfälle, Dysarthrie oder Dysphagie. Die Migräneattacken besserten sich trotz medikamentöser Therapie nicht.1
Die Expositionsgeschichte des Patienten war unauffällig gewesen: Der Patient war in letzter Zeit nicht in Hochrisikogebiete vereist - seine einzige nennenswerte Reiseerfahrung war die Teilnahme an einer Kreuzfahrt auf die Bahamas gewesen vor zwei Jahren. Er lebte zusammen mit seiner Frau und seiner Katze in einer modernen Wohnung.1
Zum Zeitpunkt der Erstvorstellung im Krankenhaus zeigten die Vitalwerte des Patienten keine Auffälligkeiten – so auch die neurologische Untersuchung. Aufgrund der besorgniserregenden und anhaltenden Veränderung der Migräneanfälle des Patienten wurde zunächst eine CT-Untersuchung durchgeführt und im Anschluss ein MRT des Gehirns. Die Bildgebung ergab folgende Befunde:1

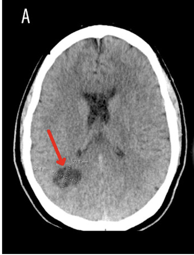
Bildabschnitt A: Im CT des Kopfes zeigte sich eine Anhäufung neben dem Okzipitalhorn des rechten Seitenventrikels. Diese betrug maximal 2,6 × 2,3 cm (roter Pfeil).1

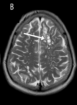
Bildabschnitt B: Im MRT des Gehirns waren multilokuläre zystische Läsionen im frontalen und parietalen Kortex (weißer Pfeil) erkennbar gewesen.1

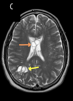
Bildabschnitt C: Im Corpus callosum (oranger Pfeil) und im Okzipitallappen (gelber Pfeil) konnten zystische Läsionen im MRT nachgewiesen werden.1
Die Bildgebung ergab die Verdachtsdiagnose angeborene neurogliale Zysten
Im CT und im MRT konnten zahlreiche zystische Herde beidseitig im tiefen, kortikalen und periventrikulären Parenchym der weißen Substanz aufgezeigt werden. Diese waren diffus über jede Hemisphäre verteilt gewesen. Es gab keine Hinweise auf einen Masseneffekt oder einen Hydrocephalus, sodass ein Hirntumor als Ursache ausgeschlossen wurde. Die im CT und MRT nachgewiesenen Veränderungen wurden zunächst für angeborene neurogliale Zysten gehalten. Der Patient wurde umgehend zur rechtzeitigen neurochirurgischen Beratung in die Neurochirurgie überwiesen.1
Die Neurochirurgie zweifelte an der Überweisungsdiagnose und führte keine akute neurochirurgische Intervention durch.1
Welche Verdachtsdiagnose haben Sie, wenn Sie die CT- und MRT-Aufnahmen des Gehirns genauer betrachten? Welche Fragen würden Sie dem Patienten stellen, um den Fall zu lösen?
Gerne können Sie dies in der Kommentarfunktion diskutieren. In der Auflösung erfahren Sie die Diagnose.
Finden Sie heraus, ob Sie richtig lagen
Erneute Anamnese und weitere Untersuchungen erbrachten den Erfolg
Eine intensivere Befragung zu den Ernährungsgewohnheiten des Patienten ergab, dass er den größten Teil seines Lebens leicht gekochten, nicht knusprigen Speck gegessen habe.1
Bei dem Patienten wurde eine gründliche Untersuchung auf Infektionskrankheiten durchgeführt. Hierbei zeigte sich jedoch, dass die Blut- und Urinkulturen sowie Kryptokokken-Antigen und Toxoplasma gondii IgM und IgG negativ waren. Auch die HIV-Antikörper und RPR waren nicht reaktiv. Der IgG-Antikörper gegen Zystizerkose jedoch war positiv und bestätigte den Verdacht auf Neurozystizerkose.1
Die Behandlung der Neurozystizerkose besserte die plagenden Kopfschmerzen
Der Patient erhielt zur Anfallsprophylaxe sowie zur Reduktion des Hirnödems Dexamethason 1 mg viermal täglich. Anschließend wurde er auf der Intensivstation engmaschig überwacht. Er erhielt zweimal täglich 600 mg Albendazol und dreimal täglich 1800 mg Praziquantel für insgesamt 14 Tage. Als sich sein Zustand stabilisiert hatte, wurde Dexamethason abgesetzt. Bei den ambulanten Nachuntersuchungen in der Klinik war eine Rückbildung der Läsionen erkennbar. Endlich besserten sich auch die plagenden Kopfschmerzen des Patienten.1
Möglicher Infektionsweg
Der Verzehr von unzureichend gegartem Speck kann zu einer Taeniasis, jedoch nicht direkt zu einer Zystizerkose geführt haben – so die Hypothese. Zu einer Zystizerkose kann es kommen, wenn Menschen Eier aufnehmen, die sich z.B. im Kot befunden haben. Eine Möglichkeit wäre, dass die Zystizerkose durch Autoinfektion des Patienten nach unsachgemäßem Händewaschen übertragen wurde, nachdem er sich selbst zuvor durch seine Essgewohnheiten mit Taeniasis infiziert hatte.1
„Good to know“ und wichtige Erkenntnisse aus diesem Fall
- Die Neurozystizerkose ist eine parasitäre Infektion des Gehirns, die auf Reisen in Entwicklungsländer erworben wird, in denen Zystizerkose und Taeniasis endemisch sind.1
- Es ist sehr selten, dass sich Patienten außerhalb klassischer Expositionen mit Neurozystizerkose infizieren.1
- Der Verzehr von ungekochtem Schweinefleisch ist ein theoretischer Risikofaktor für Neurozystizerkose durch Autoinokulation.1
- Die Neurozystizerkose in ihren Erscheinungsformen sehr vielfältig und hängt vom Grad des Eindringens der Krankheit in das Gehirnparenchym ab.1
- Aufgrund der großen Variabilität der Symptome geht die Neurozystizerkose mit einer erschwerten Diagnosestellung einher.1
- Die Neurozystizerkose ist weltweit eine der Hauptursachen für Epilepsie, sie kann jedoch auch sehr subtile Symptome aufweisen.1
Haben Sie eine Kasuistik, die Sie gerne teilen möchten?
Schicken Sie uns die Details Ihrer Kasuistik an content@esanum.de. Ihr Beitrag wird vor der Veröffentlichung von unseren Medizinern überprüft und die finale Version nur mit Ihrer Zustimmung veröffentlicht.
- Byrnes E. et al. (2024). Neurocysticercosis Presenting as Migraine in the United States. Am J Case Rep. 2024 Mar 7;25:e943133.