Frau mit Luftnot und produktivem Husten
Kurz vor Weihnachten stellt sich eine Frau mit schwerer Atemnot in der Rettungsstelle vor – ihre Selbstmedikation mit Antibiotika blieb wirkungslos. Was steckt dahinter?
Anamnese:
Frau F., 59 Jahre alt, leidet seit 10 Jahren an einer systemischen Sklerodermie mit schwerer Organbeteiligung. Zur Stabilisierung der Krankheitsaktivität wird sie seit sechs Monaten mit Mycophenolat-Mofetil (2 g/Tag) und niedrigdosiertem Prednisolon (10 mg/Tag) behandelt. Unter dieser Therapie ist die Krankheitsaktivität kontrolliert, allerdings berichtet sie von einer erhöhten Infektanfälligkeit, insbesondere in Form von häufigem Schnupfen.
Seit fünf Tagen klagt die Patientin über eine deutliche Verschlechterung ihres Allgemeinzustands, begleitet von produktivem Husten mit gelblichem Auswurf und zunehmender Atemnot. Um ihre Symptome selbst zu behandeln, begann sie vor drei Tagen mit einer eigenständigen Einnahme von Ampicillin/Sulbactam, jedoch ohne Verbesserung.
Die Patientin hat keine bekannten Allergien. Sie lebt mit ihrem Ehemann in Bremen und ist nach Berlin gereist, um die Feiertage bei ihrem Sohn und dessen Familie zu verbringen. Bei zunehmender Verschlechterung der Beschwerden entschied sie sich, in Begleitung von Ihrem Sohn, die Rettungsstelle aufzusuchen
Klinische Untersuchung:
- Vitalzeichen: Temperatur 38,8 °C, Herzfrequenz 110/min, Blutdruck 100/60 mmHg, Atemfrequenz 26/min, SpO₂ 88 % (unter Raumluft).
- Lunge: Beidseitig feinblasige Rasselgeräusche, verstärkt basal.
- Allgemeinzustand: Reduzierter Zustand, blasse Haut, keine Zyanose oder Zeichen einer Rechtsherzinsuffizienz.
- Haut: Typische Hautveränderungen der Sklerodermie (Verdickung, Sklerosierung, Teleangiektasien).
Laborwerte:
|
Parameter
|
Ergebnis
|
Referenzbereich
|
|
Leukozyten
|
0.7 Tsd./µL
|
4.0–10.0 Tsd./µL
|
|
Absolute Neutrophilenzahl
|
<100/µL
|
>1.500/µL
|
|
Hämoglobin
|
9.5 g/dL
|
12–16 g/dL
|
|
Thrombozyten
|
80 Tsd./µL
|
150–400 Tsd./µL
|
|
CRP
|
155 mg/L
|
<5 mg/L
|
|
Prokalzitonin
|
0.5 µg/L
|
<0.5 µg/L
|
|
Galactomannan-Antigen
|
Positiv
|
Negativ
|
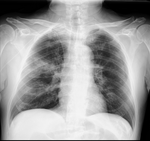
Bildgebung:
Im Röntgenbild zeigen sich rechtsbetonte, bilateral konfluierende Infiltrate. Im CT des Thorax zeigen sich apikal betonte bronchiozentrische Konsolidierungen mit milchglasartigen Verdichtungen und Bronchialwandverdickungen.
Wie lautet Ihre Verdachtsdiagnose?
Wir laden Sie ein, Ihre Lösungsvorschläge zu dieser Kasuistik mit uns zu teilen und zu kommentieren. In der Auflösung erfahren Sie, ob Sie richtig lagen und erhalten Details zur Diagnose sowie zum Therapieverlauf.
Diagnose
Bei positivem Galactomannan-Antigen im Serum und später in der Bronchoalveolären Lavage, bestätigte sich die Diagnose einer invasiven pulmonalen Aspergillose, ausgelöst durch Aspergillus spp., bei einer immunsupprimierten Patientin mit schwerer Neutropenie und Pancytopenie.
Stationäre Aufnahme und Therapie:
- Antimykotische Behandlung: Beginn einer intravenösen Therapie mit Voriconazol (6 mg/kg als initiale Dosis, anschließend 4 mg/kg alle 12 Stunden).
- Unterstützende Maßnahmen: Sauerstoffgabe, supportive Pflege und engmaschige Überwachung.
- Behebung der Neutropenie: Gabe von G-CSF (Granulozyten-Kolonie-stimulierender Faktor) zur Förderung der Knochenmarksregeneration.
- Reduktion der Immunsuppression: Reduktion von Mycophenolat-Mofetil und langsames Ausschleichen des Prednisolons.
Verlauf:
Die Patientin zeigte innerhalb der ersten Woche unter Voriconazol eine Verbesserung der Atemwegs- und Allgemeinsymptome. Die Leukozytenzahl begann sich nach 10 Tagen unter G-CSF zu erholen. Nach drei Wochen wurde die Patientin mit stabiler Symptomatik und einer weiterhin laufenden antimykotischen Therapie entlassen. Eine ambulante Nachsorge wurde geplant, um die antifungale Therapie fortzusetzen und die Immunsuppression anzupassen.
Haben Sie eine Kasuistik, die Sie gerne teilen möchten?
Schicken Sie uns die Details Ihrer Kasuistik an content@esanum.de. Ihr Beitrag wird vor der Veröffentlichung von unseren Medizinern überprüft und die finale Version nur mit Ihrer Zustimmung veröffentlicht.