Unerklärliche Atemnot: Die überraschende Entdeckung hinter einem lebensbedrohlichen Fall
Ein 82-jähriger Patient stellt sich mit schwerer Atemnot und weiteren Symptomen vor, und die Ursache bleibt zunächst unklar. Was könnte hinter diesen Beschwerden stecken?
Ein mysteriöser Fall von Atembeschwerden
Ein 82-jähriger Mann stellte sich in der Notaufnahme mit Übelkeit, Erbrechen, Schwindel und Atembeschwerden vor. Anamnestisch ergaben sich folgende Diagnosen:
- Bluthochdruck
- Hypothyreose
- Prädiabetes
- benigne Prostatahyperplasie
- Schwindel und Angstzustände
Bei der weiteren Untersuchung wurde der Patient nach Schmerzen im Bereich der Brust, des Kopfes oder des Bauchraums, nach Herzklopfen, nach Husten sowie nach Fieber befragt. All dies verneinte er. Es zeigten sich keine Schwellungen im Bereich der Knöchel. Auch wurden in der Vergangenheit keine nennenswerten chirurgischen Eingriffe bei ihm durchgeführt. Es lag weder ein Alkohol- noch Drogenabusus vor. Bei dem Patienten lag keine Medikamentenallergie vor. Zum Zeitpunkt des Erscheinens in der Notaufnahme stand er unter folgender Medikation:
- Amlodipin
- Clonazepam
- Levothyroxin
- Tamsulosin
Die körperliche Untersuchung des Patienten ergab neben den bereits berichteten erheblichen Atembeschwerden noch Ringen nach Luft, Würgen und Stridor. Die Sauerstoffsättigung war bereits auf 90 % gesunken. Der Patient war zunehmend tachykard geworden mit einer Herzfrequenz von 120 Schlägen pro Minute. Bei der Auskultation der Lunge zeigten sich grobblasige Rasselgeräusche. Die Untersuchung des gastrointestinalen, neurologischen und kardiovaskulären Systems war jedoch unauffällig gewesen. Aufgrund der zunehmend schweren Atemnot musste der Patient sofort intubiert und mechanisch beatmet werden.1
Durch die anschließend durchgeführte Laryngoskopie konnten die Symptome nicht geklärt werden. Mit dieser Untersuchungsmethode ließen sich keine Anomalien darstellen. Mittels der dann durchgeführten Thorax-CT konnte eine Lungenembolie ausgeschlossen werden.1
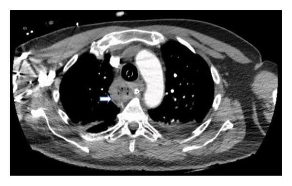
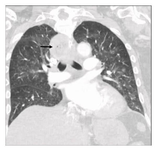
Befunde:
Abb. 1: CT Thorax1
Abb. 2: CT Thorax1
Hier zeigte sich eine fast vollständige Atelektase des linken Unterlappens und ein aufgeblähter Ösophagus. Der nächste Schritt umfasste eine Magenspiegelung, um der Sache auf den Grund zu gehen.
Befund der Magenspiegelung:
Abb. 3: Magenspiegelung1
Was ist Ihre Verdachtsdiagnose, und welche Therapie schlagen Sie vor?
Hier erfahren Sie, ob Sie richtig lagen:
Der 82-jähriger Patient litt unter einem Ösophagusbezoar, der sich im unteren Ösophagus befand. Es war nicht möglich gewesen, den Bezoar unter Zuhilfenahme der Raptor-Zange und der Talon-Greifzange zu entfernen. Es wurde eine Bronchoskopie durchgeführt, in der sich eitrige Sekrete und Speisereste in beiden Lungenflügeln zeigten. Aufgrund des hohen Patientenalters und den Komorbiditäten wurde zunächst kein chirurgischer Eingriff angedacht. Der nächste Behandlungsversuch beruhte auf der direkten Umspülung des Ösophagusbezoars mit kohlensäurehaltigen Flüssigkeiten (Coca-Cola), die mit Pankreasenzymen (KREON) infundiert wurden. Zu diesem Zeitpunkt war der Patient endotracheal intubiert, was das Risiko für eine tracheale Aspiration minimierte. Die Behandlung erfolgte für insgesamt 4 Tage (4 x tgl. (355 ml) Coca-Cola und 4 Kapseln KREON). Dies führte zu einer vollständigen Auflösung des Ösophagusbezoars. Leider blieb eine Ösophagitis mit zirkumferentiellen Ulzerationen zurück. Es zeigte sich zudem eine 5 cm große Hiatushernie. Durch eine Biopsie konnte eine eosinophile Ösophagitis ausgeschlossen werden.1
Befund nach Therapiebeginn (5.Tag):
Abb. 4: Befund am 5. Tag nach Therapiebeginn1
Der Zustand des Patienten verbesserte sich immer weiter, sodass er am 6. Tag nach Therapiebeginn erfolgreich von der mechanischen Beatmung entwöhnt werden konnte. Bei der Entlassung zeigte die hochauflösende Ösophagus-Manometrie eine Achalasie vom Typ I. Der Patient erhielt zusätzlich zu seiner bisherigen Medikation Protonenpumpenhemmer sowie Termine zur ambulanten Nachsorge, zur weiteren Diagnostik und zur Behandlung der Achalasie und Ösophagitis.1
Selten und potentiell lebensbedrohlich: Ösophagusbezoar
Dieses seltene Phänomen ist durch die Bildung einer Masse bzw. eines Fremdkörpers in der Speiseröhre gekennzeichnet. Neben dem hier beschriebenen Fall kann ein Ösophagusbezoar auch asymptomatisch verlaufen. Lebensbedrohlich wurde der Ösophagusbezoar bei dem 82-jährigen Patienten durch die Obstruktion der oberen Atemwege.1
- Urlapu KS. et al. (2024). Severe Airway Obstruction Caused by Esophageal Bezoar with Coca-Cola and Creon (Pancrelipase) in a Patient with Underlying Achalasia: A Comprehensive Case Report. Case Rep Gastrointest Med. 2024 Jul 27;2024:2081040.