Oligometastasen effektiv behandeln: Stereotaktische Strahlentherapie mit 90% Kontrollrate
Die SBRT kann bei unterschiedlichen Kategorien der oligometastatischen Erkrankung zum Einsatz kommen. Die Erkrankung umfasst ein weites Spektrum und hat viele Gesichter. Eine Zusammenfassung zu Ausprägungen und Behandlung.
Was genau ist die stereotaktische Strahlentherapie?
Die stereotaktische Strahlentherapie (SBRT) ist eine Art der Strahlentherapie, bei der mit besonders präzisen Geräten eine geringe Anzahl hochdosierter Strahlen auf ein Zielvolumen abgegeben wird, um die Krebsbekämpfung zu maximieren und gleichzeitig die Nebenwirkungen auf gesundes Gewebe zu minimieren. Die genaue Rolle der SBRT variiert je nach Primärlokalisation und Subtyp des oligometastatischen Zustands. Bei dieser bildgesteuerten Strahlentherapietechnik werden kleine Zielvolumina in einer einzigen oder wenigen Fraktionen mit hoher Präzision und hohen Dosen bestrahlt. Der Vorteil dieser Methode ist, dass die Strahlenbelastung für das umliegende Gewebe dadurch deutlich minimiert werden kann.1
Die Rolle der SBRT in der Onkologie wird gründlich untersucht
Die SBRT ist in zwei Krebsstadien von entscheidender Bedeutung:
- im Frühstadium des Primärtumors
- bei oligometastatischer Erkrankung
Bei diesen Krebsstadien wird die SBRT mit dem Ziel angewandt, eine vollständige Remission des Tumors zu erreichen. Im Laufe der Jahre hat sich eine wachsende Anzahl klinischer Belege für den Einsatz dieser Behandlungsmethode angesammelt. Im vorliegenden Review wird die Rolle der SBRT bei der Behandlung von Oligometastasen bewertet. Im Rahmen dieser Analyse wurden vor allem die technischen und klinischen Aspekte der SBRT abhängig vom Krankheitstyp und der klinischen Indikation untersucht. Dafür wurden insgesamt 972 Publikationen identifiziert, von denen 66 ausgewertet wurden.1
Was ist das Besondere an einer oligometastatischen Erkrankung?
Bei der oligometastatischen Erkrankung handelt es sich um ein noch kurativ behandelbares Krankheitsstadium. Die oligometastatische Erkrankung befindet sich zwischen einer lokal fortgeschrittenen und einer metastasierten Erkrankung. Sie lässt sich in insgesamt vier Kategorien einteilen:
- De-novo-Oligometastasen: neu diagnostizierte Tumorerkrankung mit nur wenigen Metastasen,
- Oligo-Rezidive: Rückfall an einigen wenigen neuen Metastasenherden bei Patienten, die bereits wegen einer metastasierten Erkrankung behandelt wurden,
- Oligo-Progression: Krankheitsprogression an einigen wenigen Metastasenherden bei Patienten, bei denen die Krebserkrankung sonst durch eine systemische Behandlung kontrolliert werden konnte,
- Oligo-Persistenz: Trotz des Therapieansprechens auf eine systemische Behandlung zeigen sich bei den betroffenen Patienten einige wenige Metastasenherde.
Diese vier Kategorien entsprechen den verschiedenen klinischen Szenarien, die bei der oligometastatischen Erkrankung auftreten können und decken somit das Spektrum der Erkrankung ab. Die betroffenen Patienten können abhängig von ihrem Therapieansprechen auf eine systemische Behandlung die unterschiedlichen Kategorien der oligometastatischen Erkrankung durchlaufen.1
Behandlungsoptionen der oligometastatischen Erkrankung
Zu den ablativen Behandlungen für Oligometastasen gehören neben der SBRT, lokale Operationen und Radioablationen. Diese therapeutischen Optionen müssen so kurativ wie möglich sein, um die oligometastatische Erkrankung wirksam zu kontrollieren.1
Schritte zur Planung einer stereotaktischen Körperstrahlentherapie
Abbildung 1: (a) Beratung des Patienten, um die Behandlungsziele und möglichen Nebenwirkungen zu besprechen. (b) Platzierung von Markern zur Tumorverfolgung während der gesamten Behandlung. (c) 3D-Bildgebung mittels CT-Scan zur präzisen Lokalisierung des Tumors. (d) Dosimetrieplanung zur Festlegung der Strahlendosis und der Positionierung der Strahlen. (e) Durchführung der Behandlung mit hochmodernen Geräten, die eine tägliche Bildgebung ermöglichen, um die korrekte Positionierung des Tumors sicherzustellen. (f) In einigen Studien wurde eine mögliche Verlängerung der Gesamtüberlebenszeit beobachtet.2
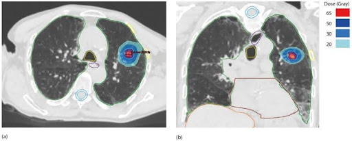
Abbildung 2: Die vorliegende Abbildung zeigt ein Beispiel für die Anwendung einer SBRT bei einem metastasierten Lungenkarzinom: Dosimetrie einer 55-Gy-Lungen-SBRT in fünf Fraktionen zu je 11 Gy bei Lungenmetastasen eines primären Lungenkarzinoms. (a) Axiale Ansicht, (b) koronale Ansicht. Das Bruttotumorvolumen (GTV) ist rot, das Planungszielvolumen (PTV) blau und die Markerpunkte sind grün dargestellt.2
Proof-of-Concept-Ergebnisse der randomisierten SABR-COMET-Studie als Grundlage für die SBRT
Um die Präzision der Behandlung trotz Organbewegung zu verbessern, wird die adaptive Technologie der SBRT ständig weiterentwickelt**, was** mit immer weniger Nebenwirkungen einhergeht. Bislang basieren die Erkenntnisse zur Behandlung von Oligometastasen auf den Proof-of-Concept-Ergebnissen der randomisierten SABR-COMET-Studie. Diese konnten eine signifikante Verlängerung der Gesamtüberlebenszeit durch den Einsatz von SBRT im Vergleich zur besten unterstützenden Behandlung nachweisen. Zukünftige Studien sollten folgende Faktoren beachten:
- Randomisierung der Patienten nach Krankheitstyp und Krankheitslokalisation
- Langzeitnachbeobachtung der behandelten Patienten
Fazit für die Praxis
- Die stereotaktische Strahlentherapie (SBRT) punktet durch ihre ausgezeichnete Verträglichkeit und hohen lokoregionalen Kontrollraten von bis zu 90 %.
- Die Erkenntnisse zur Behandlung von Oligometastasen mittels SBRT basieren auf den Proof-of-Concept-Ergebnissen der randomisierten SABR-COMET-Studie.
- Die oligometastatischen Erkrankungen lassen sich in 4 Kategorien unterteilen.
- Die Randomisierung der Patienten nach Krankheitstyp und Krankheitslokalisation spielt eine wichtige Rolle für zukünftige Studien.
- Kinj R. et al. (2022). Stereotactic Body Radiation Therapy in Patients with Oligometastatic Disease: Clinical State of the Art and Perspectives. Cancers (Basel). 2022 Feb 23;14(5):1152.
- Licensee MDPI, Basel, Switzerland. This article is an open access article distributed under the terms and conditions of the Creative Commons Attribution (CC BY) license (https://creativecommons.org/licenses/by/4.0/).
PMC Copyright notice