Linksseitige Kopfschmerzen, Augenschwellung und Luftnot – Wie gehen Sie vor?

Attackenartige Kopfschmerzen, Atemnot und Gewichtsverlust führen eine Patientin in die Notaufnahme. Welche Differentialdiagnosen passen zu diesem Fall?

Patientin mit attackenartigen Kopfschmerzen, Augenschwellung und Luftnot: nicht die einzigen Symptome

Anamnese und Untersuchungen:

Neben den Kopf- und Gesichtsschmerzen fiel zusätzlich ein hängendes Augenlid auf, und sie klagte über Kämmschmerz. Übelkeit, Erbrechen sowie Photo- oder Phonophobie wurden verneint. Es wurde bekannt, dass sie an einer ANCA-positiven Vaskulitis leidet und eine Therapie mit Cyclophosphamid vor zwei Jahren abgeschlossen hatte. Danach wurde mit Prednisolon fortgefahren, welches jedoch vor etwa zwei Monaten abgesetzt wurde. Seit Juli des letzten Jahres berichtete die Patientin über einen Gewichtsverlust von 6 kg sowie über neu aufgetretene Heiserkeit und Dyspnoe.

Bei der klinisch-neurologischen Untersuchung stellte sich eine Ptosis auf der linken Seite heraus, und zum Untersuchungszeitpunkt litt Frau K. unter holocephalen Kopfschmerzen. Zuvor waren es attackenartige, kurzzeitige linksseitige Kopf- und Gesichtsschmerzen, begleitet von Lakrimation und Rhinorrhoe. Die Laborergebnisse zeigten eine Hyponatriämie, erhöhtes Kreatinin bei bekannter chronischer Niereninsuffizienz, ein erhöhtes LDH sowie ein CRP von 19,1 mg/l bei normwertigen Leukozyten. Die BSG war auf 100 mm nach 1 Stunde deutlich erhöht. Zur weiteren Diagnostik wurden eine CT-Untersuchung des Thorax sowie ein MRT des Kopfes veranlasst.

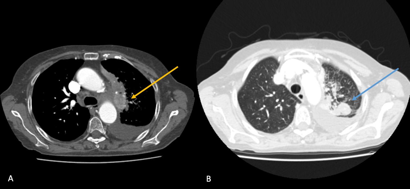
Radiologische Befunde AB.png

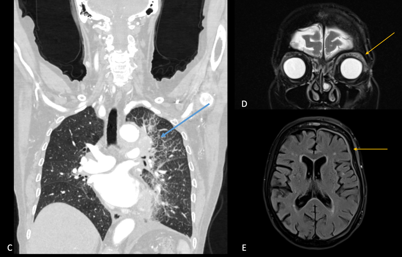
Radiologische Befunde CDE.png

Radiologische Befunde: 

A, B, C. Axial und koronal rekonstruierte CT-Untersuchung in venöser Kontrastierung, hier zeigen sich zwei Rundherde im linken Oberlappen, Zeichnungsvermehrung mit retikulo-nodulärem Verteilungsmuster sowie ein moderater Pleuraerguss linksseitig.

D. T2 TSE koronal dark-fluid Sequenz, hier zeigt sich eine deutliche Inflammation des intrakonalen, retrobulbären Fettgewebes linksseitig.

E. Axiale T1 MPRAGE Post-KM, hier zeigt sich eine deutliche Verdickung und Enhancement der linksseitigen Pachymeningen. 

Welche Differentialdiagnosen passen am ehesten zum geschilderten Fall?

  1. Bakterielle Meningitis mit Orbitaphlegmonen, GPA-assoziierte granulomatöse pulmonale Rundherde
  2. Hypertrophe Pachymeningitis, Retrobulbäre Inflammation, Bronchial-Ca
  3. Bronchial-Ca mit orbitaler Metastasierung und Meningeosis Carcinomatosa
  4. Systemische Tuberkulose mit pulmonaler, orbitaler und meningealer Beteiligung


Hier erfahren Sie, ob Sie richtig lagen:

Verlauf und Therapie:

Die Granulomatose mit Polyangiitis (GPA), früher bekannt als Wegener-Granulomatose, ist eine Form der Vaskulitis, die die kleinen bis mittelgroßen Blutgefäße betrifft. Sie ist gekennzeichnet durch granulomatöse Entzündungen, insbesondere der Atemwege, und nekrotisierende Vaskulitis. Die Pathophysiologie umfasst eine fehlgeleitete Immunantwort, die zu Entzündungen und folglich zu Schädigungen der Blutgefäße führt. Die Behandlung besteht typischerweise aus immunsuppressiven Medikamenten wie Cyclophosphamid und Steroiden, um die Entzündung zu kontrollieren und das Fortschreiten der Krankheit zu verlangsamen.1

Die retroorbitale Inflammation sowie die hypertrophe Pachymeningitis sind häufige Manifestationen der systemischen Vaskulitiden, und eine infektiöse Genese wurde mittels Liquorpunktion und Blutkulturen ausgeschlossen. Zur Abklärung des pulmonalen Befunds wurde eine perkutane Biopsie eines der Rundherde im linken Oberlappen. Hier zeigte sich ein PDL1 positives Adenokarzinom.  

Angesichts des Verdachts auf eine Assoziation des Kopfschmerzsyndroms mit der bekannten ANCA-positiven Vaskulitis wurde eine Behandlung mit 1g Methylprednisolon pro Tag für vier Tage durchgeführt. Unter dieser Behandlung besserten sich die attackenartigen Kopfschmerzen, es verblieb jedoch ein dumpfer holozephaler Kopfschmerz. Die BSG verringerte sich unter der Steroid-Therapie auf 50 mm/h. Nach der initialen Therapie in der Neurologie wurde die Patientin von der Pneumologie übernommen, um die Immuntherapie für den neudiagnostizierten Bronchial-Ca zu initiieren.  

Fazit für die Praxis: Lungenkrebsrisiko bei langfristiger Behandlung von Vaskulitis erhöht 

Da die pulmonale Manifestation bei GPA andere maligne Tumoren und Infektionen in der Computertomographie nachahmen kann, gestaltet sich die Diagnose besonders herausfordernd. Eine Lungenbiopsie ist für die Diagnosestellung unabdingbar. Es gibt auch Belege dafür, dass die langfristige Behandlung von Vaskulitis, einschließlich der Verwendung von Cyclophosphamid, das nachfolgende Lungenkrebsrisiko erhöht. Eine Fallserie berichtet über die Entwicklung von Lungenkrebs innerhalb von zwei Jahren nach der Behandlung der GPA.2

Haben Sie eine Kasuistik, die Sie gerne teilen möchten?

Schicken Sie uns die Details Ihrer Kasuistik an content@esanum.de. Ihr Beitrag wird vor der Veröffentlichung von unseren Medizinern überprüft und die finale Version nur mit Ihrer Zustimmung veröffentlicht.

Rare Disease Day

230124-Rare-Disease-Day-Bann..Seit 2008 findet jedes Jahr Ende Februar der weltweite Tag der seltenen Erkrankungen statt. esanum begleitet den Tag und berichtet nicht nur über aktuelle Themen, sondern auch über mögliche Symptomkomplexe, Diagnostik, Therapieansätze und Orphan Drugs zur Behandlung von seltenen Krankheiten. Weitere Beiträge finden Sie im Themenspecial zum Rare Disease Day.

Quelle:
  1. Yates M, Watts RA, Bajema IM, Cid MC, Crestani B, Hauser T, Hellmich B, Holle JU, Laudien M, Little MA, Luqmani RA, Mahr A, Merkel PA, Mills J, Mooney J, Segelmark M, Tesar V, Westman K, Vaglio A, Yalçındağ N, Jayne DR, Mukhtyar C. EULAR/ERA-EDTA recommendations for the management of ANCA-associated vasculitis. Ann Rheum Dis. 2016 Sep;75(9):1583-94. doi: 10.1136/annrheumdis-2016-209133. Epub 2016 Jun 23. Erratum in: Ann Rheum Dis. 2017 Aug;76(8):1480. Erratum in: Ann Rheum Dis. 2022 Jun;81(6):e109. PMID: 27338776.

  2. Chemouny JM, Pagnoux C, Caudwell V, Karras A, Borie R, Guillevin L, Vrtovsnik F, Daugas E. ANCA-associated diseases and lung carcinomas: a five-case series. Clin Nephrol. 2014 Feb;81(2):132-7. doi: 10.5414/CN107407. PMID: 22948118.