Seltene Diagnose: Wenn hinter Allgemeinsymptomen mehr steckt

Übelkeit, Schluckbeschwerden, Kopfschmerzen: Hinter solchen Allgemeinsymptomen kann sich auch eine seltene Erkrankung verstecken. Einige wichtige Differentialdiagnosen.

Warnzeichen in der Radiologie für Seltene Erkrankungen 

Schluckbeschwerden 

Schluckbeschwerden treten im hohen Alter relativ häufig auf. Sie können selbstlimitierend sein, aber auch länger anhalten. Bei länger bestehenden Beschwerden sollte eine Magenspiegelung durchgeführt werden. Ergibt sich daraus nichts, kann auch eine Breischluck-Untersuchung zielführend sein. Bei dem 65-jährigen Patienten (s. Abbildungen) handelt es sich beispielsweise um einen seltenen Befund: ein Zenker-Divertikel.

Bild 1.png

Bild 1: Hypopharyngo-Ösophagographie mit bariumhaltigem Kontrastmittel in sagittaler und coronaler Ansicht. Es zeigt sich eine dorsale Ausstülpung der hinteren Ösophaguswand auf Höhe von HWK5/6.

Tinnitus

Tinnitus (Ohrensausen) ist zunächst keine eigenständige Erkrankung, sondern ein Symptom für unterschiedliche Störungen. Am Anfang stehen häufig Schäden und Erkrankungen im Ohr selbst, etwa durch Entzündungen oder starke Lärmeinwirkung. Sollte sich die Symptomatik verschlimmern, empfiehlt sich, eine Magnetresonanztomographie (MRT) durchzuführen. 

Bei einer 47-jährigen Patientin (siehe Abbildungen) wurde ein Akustikusneurinom auf der rechten Seite festgestellt, das zu einem Hörsturz führte.

Bild 2.png

Bild 2: MRT der hinteren Schädelgrube in T2- und T1-Wichtung. Hier zu sehen ist eine T2-W-isointense Raumforderung im meatus acusticus internus, vereinbar mit einem Akustikusneurinom.

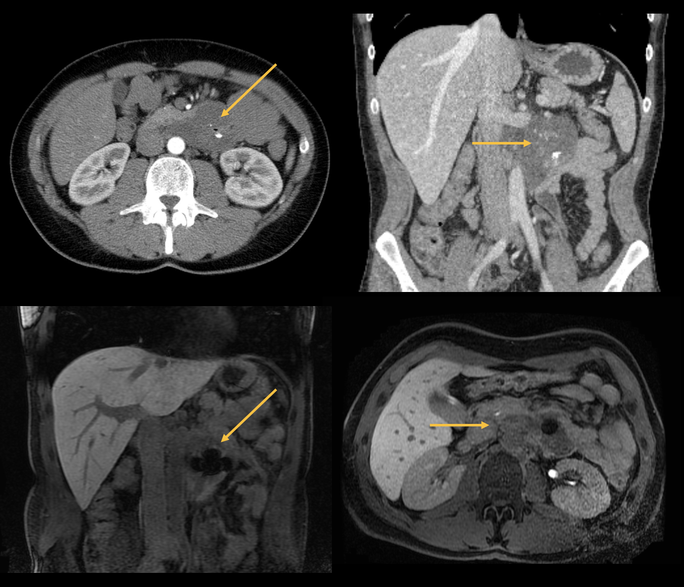
Übelkeit / Erbrechen 

Patienten mit anhaltender Übelkeit und Erbrechen sollten immer dann radiologisch untersucht werden, wenn die Symptome länger als zwei Wochen persistieren und die Ursache unklar ist, denn womöglich liegt eine seltene Erkrankung vor. 

Herr H. klagte über unspezifische Beschwerden wie Völlegefühl, Bauchschmerzen, Übelkeit und Anämie. In der Bildgebung (siehe Abbildungen) zeigte sich ein gastrointestinaler Stromatumor (GIST). 

GIST ist ein semimaligner Tumor des Gastrointestinaltrakts (insbesondere Magen und Dünndarm), welcher metastasieren kann, aber meist mit einer guten Prognose einhergeht. Der Tumor tritt meistens im mittleren Alter auf (40-60) und wird operativ behandelt. Bei Metastasen erfolgt eine adjuvante Immuntherapie mit einem Proteinkinaseinhibitor. 

Bild 3.png

Bild 3: Axiale und koronale CT und MRT-Bilder. GIST ausgehend vom Pars horizontalis duodeni, ventral der linken Nierenvene und dem Pankreasschwanz anliegend. Zentrale Suszeptibilitätsartefakte bei Lufteinschlüssen und Verkalkungen.

Kopfschmerzen

Kopfschmerzen gehören zu den häufigsten Schmerzsyndromen, mit denen Ärzte im klinischen Alltag konfrontiert werden. Unterschieden werden vor allem primäre (z.B. Migräne) und sekundäre (z.B. nach Schädel-Hirn-Trauma oder durch Infektionen hervorgerufene) Kopfschmerzen. 

Auf den folgenden Abbildungen handelt es sich um einen Patienten, der in die Klinik eingewiesen wurde, mit stärksten Kopfschmerzen und Übelkeit. In der MRT sowie in der Angiographie zeigt sich eine arteriovenöse Malformation (AVM). 

Eine AVM ist eine angeborene Gefäßmissbildung mit Shunt-Verbindungen (Nidus) zwischen zerebralen Arterien und Venen ohne zwischengeschaltetes Kapillarbett. Arteriovenöse Malformationen können zeitlebens asymptomatisch bleiben. Häufig manifestieren sie sich jedoch zwischen dem 20. und 40. Lebensjahr mit Kopfschmerzen. Intrakranielle Blutungen treten bei ca. 50 bis 60 % der Patienten, epileptische Anfälle und fokal-neurologische Defizite bei ca 25 % der Betroffenen auf. Die klassische Therapie ist die operative Resektion, wobei auch zunehmend endovaskulär behandelt wird.

Bild 4.png

Bild 4: Axiale und koronale MRT-Bilder, sowie digitale Subtraktionsangiographie mit Darstellung der Shunt-Verbindungen zwischen den Arterien und Venen. Der Nidus ist durch die Pfeiler markiert.

Muskelschwellung

Nicht selten treten Muskelschwellungen im Ober- oder Unterschenkel aufgrund einer tiefen Beinvenenthrombose (TVT) auf. Diese werden immer als erstes ausgeschlossen. Wenn sich die TVT nicht bestätigt, sollte man eine Bildgebung veranlassen, um weitere Ursachen auszuschließen. 

Bei Herrn K. zeigte sich in der Magnetresonanztomographie eine Raumforderung, ausgehend von der Oberschenkelmuskulatur links, welche sich als Sarkom herausstellte. Sarkome sind maligne und hochaggressive Tumore mesenchymaler Herkunft. Sarkome sind insgesamt deutlich seltener als Karzinome. Sie machen etwa 1% der malignen Neubildungen aus, sie können jedoch metastasieren und einen letalen Verlauf haben. Die primäre Therapie wäre in diesem Fall die totale Resektion. Falls der Femur betroffen ist, würde eine Amputation der Extremität in Erwägung gezogen werden müssen.

Bild 5.png

Bild 5: Axiale und koronale MRT-Bilder der Oberschenkel beiderseits. Hier zeigte sich eine heterogene zystische und teils solide Raumforderung, ausgehend von dem Musculus biceps femoris caput brevis links.

Rare Disease Day

230124-Rare-Disease-Day-Bann..Seit 2008 findet jedes Jahr Ende Februar der weltweite Tag der seltenen Erkrankungen statt. esanum begleitet den Tag und berichtet nicht nur über aktuelle Themen, sondern auch über mögliche Symptomkomplexe, Diagnostik, Therapieansätze und Orphan Drugs zur Behandlung von seltenen Krankheiten. Weitere Beiträge finden Sie im Themenspecial zum Rare Disease Day.