Diese Anzeichen am Auge können auf Seltene Erkrankung hinweisen
Seltene Erkrankungen werden oft spät diagnostiziert. Eine Zusammenarbeit zwischen den Fachrichtungen kann dabei helfen, Betroffene für eine mögliche Therapie weiterzuleiten.
Warnzeichen für Seltene Erkrankungen in der Ophthalmologie
Als bekanntes Beispiel für erste Anzeichen einer systemischen Erkrankung in den Augen dient u.a. die Neuromyelitis optica bei Multipler Sklerose. Doch es gibt weitaus mehr seltene Erkrankungen, bei denen ein tiefer Blick in die Augen zur Diagnosestellung fast ausreicht.
Hierzu zählen das Marfan-Syndrom, Weill-Marchesani-Syndrom, Homocystinurie, Ehlers-Danlos-Syndrom, Hyperlysinämie, Sulfitoxidasemangel und das Stickler-Syndrom. Allen gemein ist folgendes Warnzeichen (⚠):
⚠: lockere Zonula-Fasern bzw. Subluxation der Linse in der Spaltlampenbiomikroskopie1
Abbildung 1: Subluxation der Linse in der Spaltlampenbiomikroskopie2
Lysosomale Speicherkrankheit
Die Multiorganerkrankung Morbus Fabry kann sich ebenso durch ihr ganz besonderes Erscheinungsbild am Auge bemerkbar machen:
⚠: Cornea verticillata im Bereich der Hornhaut junger Patienten. Die Hornhautablagerungen scheinen sich von einem zentralen Punkt aus gesehen speichenradförmig inferior der Pupille nach außen zu drehen.
Abbildung 2: Cornea verticillata Grad III bei Morbus Fabry3
Eine wichtige Differentialdiagnose ist die medikamentöse Einnahme von Amiodaron, Chloroquin, Hydroxychloroquin, Indomethacin oder auch Phenothiazin. Diese Medikamente können ebenso zu einer Cornea verticillata führen.4
Amyloidose
Bei der Amyloidose handelt es sich um eine kongenitale oder auch heterogene erworbene Erkrankung, die durch abnorme Ablagerungen fibrillärer Proteinaggregaten in Form von Beta-Faltblättern in verschiedenen Geweben gekennzeichnet ist.5 Auch hier gibt es einige Auffälligkeiten im Bereich der Augen.
⚠: Retrolentale Glaskörper-Amyloid-Trübungen.
Abbildung 3a: Klassisches Erscheinungsbild von retrolentalen Glaskörper-Amyloid-Trübungen6
In der Spaltlampenuntersuchung von Patienten mit Amyloidose kann sich folgendes pathognomonisches Zeichen zeigen:
⚠: Pupilläre Indentation durch Amyloidablagerungen am inneren Pupillenrand
Abbildung 3b: Pupilläre Indentation6
Betrachtet man die Hornhaut einiger Patienten mit Amyloidose genauer, so kann eine ganz besondere Hornhautdystrophie erkennbar werden:
Abbildung 4: Hornhautgitterdystrophie Patienten mit Amyloidose6
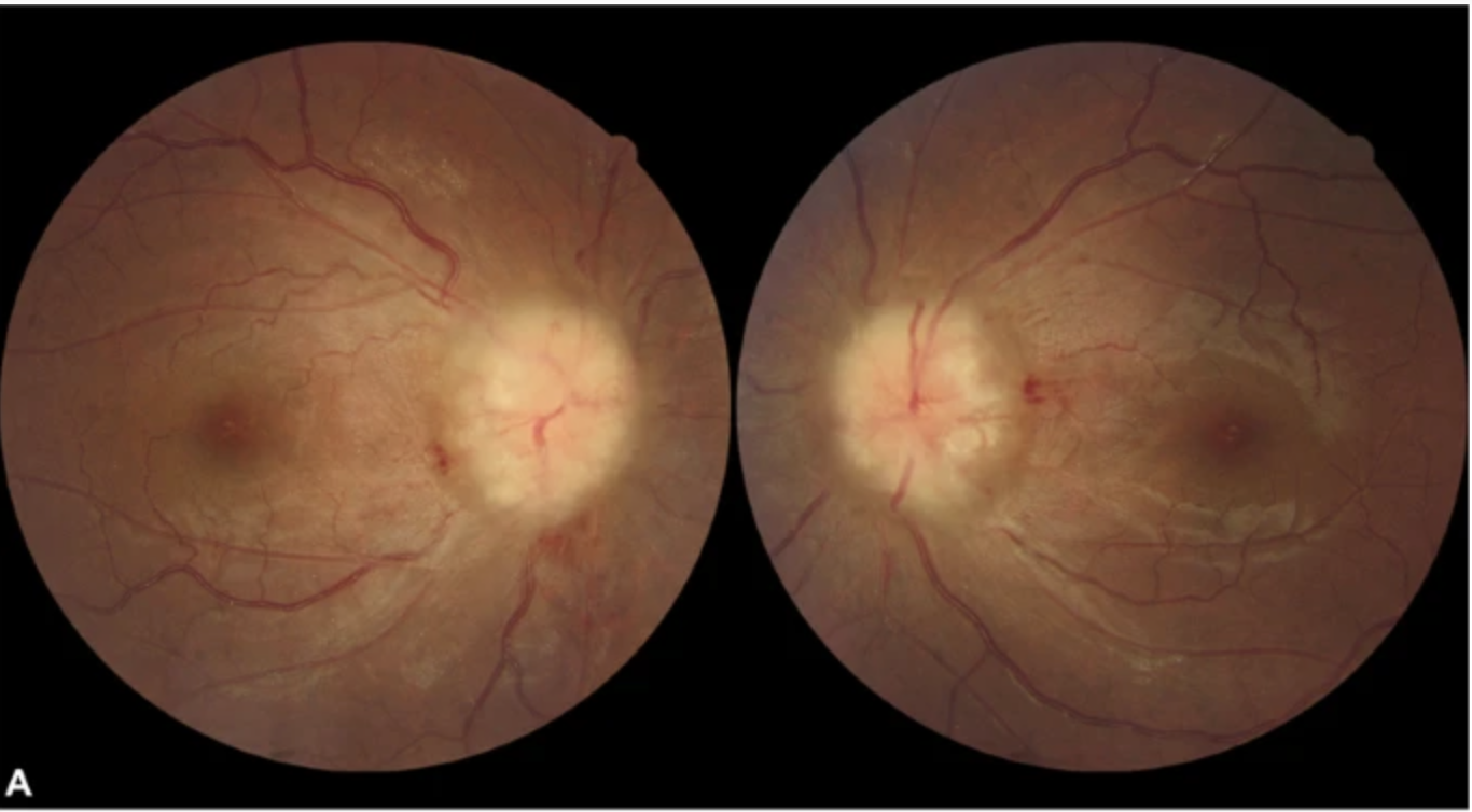
Die idiopathische intrakranielle Hypertension (IIH)
Die IIH (früher Pseudotumor cerebri) ist eine seltene Erkrankung, die Ophthalmologen bereits häufig in ihrem klinischen Alltag diagnostizieren durften. In der ophthalmologischen Untersuchung zeigt sich hier.
⚠: Eine beidseitige Papillenschwellung.
Abbildung 5a: Bilaterale Papillenschwellung7
Doch nicht nur die IIH kann mit einer Papillenschwellung einhergehen. Neben der Multiplen Sklerose gibt es eine weitere seltene Erkrankung:
Die akute disseminierte Enzephalomyelitis (ADEM)
Die ADEM ähnelt der Sie ähnelt der Multiplen Sklerose. Sie tritt typischerweise bei Kindern auf. Es wird angenommen, dass es sich der ADEM eine autoimmune, demyelinisierende Ätiologie zugrunde liegt.
⚠: Eine beidseitige Papillenschwellung.
Abbildung 5b: Bilaterale Papillenschwellung mit peripapillären Hämorrhagien8
- Lang, Gerhard K. et al.: 2015Augenheilkunde essentialsDOI: 10.1055/b-0035-118096, 8 Linse, 8.7 Lageveränderungen der Linse (Subluxatio und Luxatio lentis)
- Chen T. et al. (2021). Visual outcomes of lens subluxation surgery with Cionni modified capsular tension rings in Marfan syndrome. Scientific Reports 11 (1):2994.
- Wasielica-Poslednik J. et al. (2017). Influence of Corneal Opacity on Intraocular Pressure Assessment in Patients with Lysosomal Storage Diseases. PloS ONE 12(1):e0168698.
-
https://webeye.ophth.uiowa.edu/eyeforum/atlas/pages/Verticillata/index.htm
- Jean G. Bustamante; Syed Rafay H. Zaidi. (2022). Amyloidosis. StatPearls.
- Minnella A. M. et al. (2021). Ocular Involvement in Hereditary Amyloidosis. Genes (Basel). 2021 Jun 22;12(7):955.
- Chen Q. et al. (2020). Pseudotumour Cerebri Syndrome in China: A Cohort Study. Sci Rep 10, 1222 (2020).
- Chan W. et al. (2011). Acute disseminated encephalomyelitis associated with optic neuritis and marked peri-papillary hemorrhages. Eye 25, 1658–1659 (2011).
Rare Disease Day
Seit 2008 findet jedes Jahr Ende Februar der weltweite Tag der seltenen Erkrankungen statt. esanum begleitet den Tag und berichtet nicht nur über aktuelle Themen, sondern auch über mögliche Symptomkomplexe, Diagnostik, Therapieansätze und Orphan Drugs zur Behandlung von seltenen Krankheiten. Weitere Beiträge finden Sie im Themenspecial zum Rare Disease Day.