Rezidivierende Tonsillitis – Was steckt dahinter?

Ein junger Mann stellt sich mit eitriger Mandelentzündung in der Notaufnahme vor. Die Untersuchung liefert Anzeichen für vier Verdachtsdiagnosen. Zu welcher tendieren Sie?

Junger Mann mit Halsschmerzen - ungewöhnliche Diagnose

Der siebzehn Jahre alte Mann stellt sich in der Notaufnahme mit Luftnot, Fieber und Schluckbeschwerden vor. Die Erkrankung begann mit Halsschmerzen und Schnupfen vor zwei Wochen und besserte sich zunächst im Verlauf, bevor es sich am Vorstellungstag wieder verschlimmerte.

In der klinischen Untersuchung zeigt sich eine eitrige Mandelentzündung sowie eine Rötung und Schwellung des Halses – jeweils linksseitig. Die laborchemische Untersuchung ergibt eine Leukozytose sowie ein erhöhter CRP-Wert.

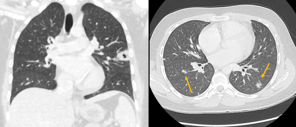
Weitere diagnostische Maßnahmen: eine Röntgen-Thorax-Aufnahme zur Abklärung der Luftnot, ein CT sowie eine Sonographie des Halses. Außerdem werde Blutkulturen asserviert.

kasuistik_lemierre-syndrom_r.. [render1]

Sonographisch wird eine Thrombose der Vena jugularis interna (VJI) links festgestellt. Im Röntgenbild zeigt sich eine Kaverne im linken Oberlappen, in der Computertomographie weitere Rundherde in allen Lungenlappen.

Wie lautet ihre Verdachtsdiagnose?

  1. Streptokokken-Tonsillitis
  2. Tuberkulose
  3. Lemierre-Syndrom
  4. EBV-Infektion

Schreiben Sie uns gern in den Kommentaren, zu welcher Diagnose Sie tendieren.


Hier erfahren Sie, ob Sie richtig diagnostiziert haben:

Auflösung

In den Blutkulturen wird nach vier Tagen Fusobacterium necrophorum nachgewiesen. In der Gesamtkonstellation wird damit die Diagnose eines Lemierre-Syndroms gestellt.

Eine antibiotische Therapie mittels Ampicillin/Sulbactam wurde eingeleitet und nach Diagnosestellung mit Metronidazol ergänzt. Der Patient wurde nach fünf Tagen in deutlich gebessertem Allgemeinzustand aus dem Krankenhaus entlassen. Die antibiotische Therapie wird auf oral umgestellt und soll für weitere vier Wochen eingenommen werden.

Was ist das Lemierre-Syndrom?

Das Lemierre-Syndrom ist eine seltene Erkrankung, die als Komplikation einer Mandelentzündung oder einer anderen Infektion des Hals-Nasen-Ohren-Bereiches auftritt. Klassischerweise tritt folgende Symptom-Trias vor:

  • Tonsillopharyngitis
  • Thrombose der Vena jugularis interna,
  • und septische Embolien in der Lunge, und seltener im Gehirn.1

Bleibt die Erkrankung unbehandelt, kann sie tödlich verlaufen.

Klinik und Diagnostik

Die Erkrankung beginnt in der Regel innerhalb weniger Tage bis drei Wochen nach einem Infekt der oberen Atemwege. Bei einer hartnäckigen Mandelentzündung, Halsschwellung und Luftnot sollte man hellhörig werden und an das Lemierre-Syndrom denken. Weitere mögliche Symptome sind Fieber, Schluckstörungen sowie Meningismus.

Wenn der Verdacht besteht, sollen Blutkulturen möglichst während der Fieberphase asserviert werden. Zusätzlich sollte eine Thrombose der VJI mittels Ultraschalls ausgeschlossen und eine Röntgenaufnahme vom Thorax zum Ausschluss einer pneumogenen Ausbreitung durchgeführt werden.

Therapie

Zunächst sollte die antibiotische Therapie zügig und breit eingeleitet werden. Gelingt der Erregernachweis, kann die Antibiose deeskaliert werden. Empfohlen werden Betalaktam-Antibiotika mit Betalaktamase-Inhibitor (z. B. Ampicillin/Sulbactam) oder ein Cephalosporin der 3. Generation (z. B. Ceftriaxon) kombiniert mit Metronidazol. Häufig ist das Ansprechen auch bei adäquater Therapie langsam, sodass eine Behandlungsdauer von 3–6 Wochen empfohlen wird.3

Referenzen:

  1. Lemierre A. On certain septicaemias due to anaerobic organisms. Lancet 1936; 1: 701-3.
  2. Mesrar H, Mesrar J, Maillier B, Kraoua S, Chapoutot L, Delclaux B. Syndrome de Lemierre : diagnostic, exploration, traitement Lemierre's syndrome: Diagnosis, exploration, treatment. Rev Med Interne. 2018 May;39(5):339-345.
  3. Riordan T. Human infection with Fusobacterium necrophorum (Necrobacillosis), with a focus on Lemierres syndrome. Clin Microbiol Rev 2007; 20: 622-59.

Rare Disease Day

230124-Rare-Disease-Day-Bann..Seit 2008 findet jedes Jahr Ende Februar der weltweite Tag der seltenen Erkrankungen statt. esanum begleitet den Tag und berichtet nicht nur über aktuelle Themen, sondern auch über mögliche Symptomkomplexe, Diagnostik, Therapieansätze und Orphan Drugs zur Behandlung von seltenen Krankheiten. Weitere Beiträge finden Sie im Themenspecial zum 
Rare Disease Day.